Nguyên nhân gây ra tình trạng men răng yếu

Sự suy yếu men răng xuất phát từ nhiều tác nhân khác nhau, bao gồm cả yếu tố bên trong cơ thể và do thói quen sinh hoạt răng miệng hàng ngày:

Nguyên nhân từ bên trong

  • Khi tuyến nước bọt không hoạt động hiệu quả do một số nguyên nhân như tuổi già, sử dụng nhiều thuốc hoặc mắc phải hội chứng Sjögren sẽ dẫn đến tình trạng khô miệng. Miệng khô làm giảm lượng nước bọt, khiến khoang miệng không trung hòa được acid và kéo dài thời gian tiếp xúc của acid với men răng, gây mài mòn men răng.

  • Men răng không hoàn chỉnh do sinh non, thiếu chất dinh dưỡng trong giai đoạn phát triển ban đầu, thiếu canxi hoặc mắc bệnh tan máu. Điều này khiến răng yếu và dễ bị mòn khi tiếp xúc với acid và vi khuẩn trong nước bọt. 

  • Các vấn đề liên quan đến đường tiêu hóa như trào ngược dạ dày - thực quản có thể dẫn đến việc acid dạ dày bị đẩy lên khoang miệng khiến men răng mòn dần.

  • Các bệnh lý răng miệng như sâu răng, viêm lợiviêm nướuviêm nha chu hay bất kỳ tình trạng nào khác đều có thể tạo điều kiện thuận lợi cho vi khuẩn phát triển và tấn công men răng, khiến răng bị suy yếu.

Do thói quen sinh hoạt

Các tác nhân bên ngoài gây ra tình trạng men răng yếu thường đến từ thói quen sinh hoạt hằng ngày như: 

  • Chế độ ăn uống giàu tinh bột và đường, ăn nhiều thực phẩm chứa acid có thể gây mòn men răng theo thời gian. 

  • Không vệ sinh răng miệng sạch sẽ, các mảng thức ăn và vi khuẩn có thể bám vào bề mặt răng và nướu, tạo điều kiện lý tưởng cho vi khuẩn phát triển. Điều này sẽ làm men răng yếu và còn là nguyên nhân chính gây nên tình trạng hôi miệng

  • Đánh răng không đúng kỹ thuật, nghiến răng khi ngủ hoặc cắn những vật cứng có thể làm tổn thương men răng, khiến răng bị nứt, mẻ và dễ bị vi khuẩn tấn công.

  • Sử dụng một số loại thuốc như Aspirin, Histamin và thuốc chứa fluoride sau thời gian dài có thể gây mòn men răng. Đặc biệt, phụ nữ đang cho con bú sử dụng nhiều thuốc kháng sinh có thể khiến răng nhiễm kháng sinh hoặc men răng bị xỉn màu.

  • Việc điều trị tại các cơ sở nha khoa không đảm bảo chất lượng, kỹ thuật kém có thể làm tổn thương men răng.

Xem thêm:

Dấu hiệu nhận biết men răng yếu

Một số dấu hiệu cho thấy men răng bị suy yếu là:

  • Men răng bị mài mòn làm phần ngà răng lộ ra ngoài, có thể nhìn thấy màu răng bị ngả vàng bất thường, gây mất thẩm mỹ.

  • Khi tiếp xúc với thức ăn hay đồ uống chua, ngọt, nóng hay lạnh, bạn có thể cảm thấy đau nhức, ê buốt ở răng. 

  • Răng dễ bị nứt, vỡ khi chịu áp lực từ các tác động bên ngoài. 

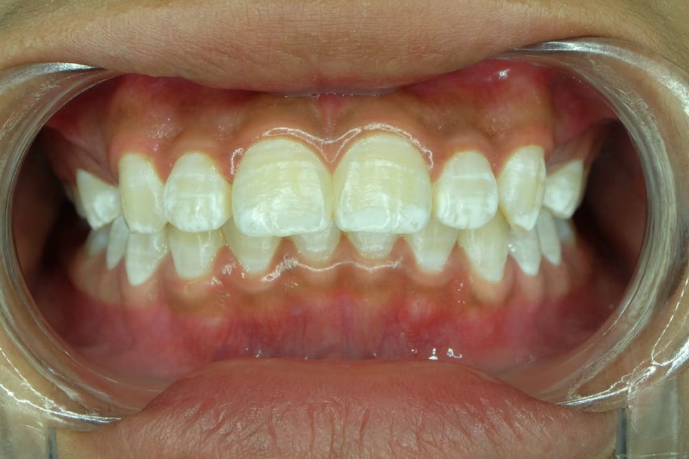
  • Bề mặt răng mất đi sự sáng bóng tự nhiên và xuất hiện những đốm trắng đục. 

  • Khi men răng bị suy yếu, răng dễ bị tấn công bởi vi khuẩn, từ đó khiến bạn dễ mắc phải các bệnh lý về răng miệng như viêm tủy răng, sâu răng,...

Cách khắc phục tình trạng men răng yếu tại nhà

Bạn có thể bảo vệ và khắc phục tình trạng men răng yếu thông qua một số phương pháp sau đây: 

 

Tăng cường khoáng chất cho răng

Bổ sung khoáng chất vào chế độ ăn uống hàng ngày thông qua hạt, hoa quả, rau và các sản phẩm từ sữa ít béo là điều cần thiết để tăng cường tái tạo men răng. Những thực phẩm này cung cấp canxi, phốt-phát và các khoáng chất khác giúp duy trì cấu trúc men răng vững chắc.

Ngoài ra, bạn cũng cần hạn chế các thực phẩm có carbohydrate và đường như kẹo, bánh quy, nước ngọt,... hay các loại ngũ cốc ăn sáng chứa nhiều đường vì những sản phẩm này có thể tạo điều kiện thuận lợi cho vi khuẩn phát triển gây mòn men răng. 

Xem thêm: Nên ăn gì để bổ sung canxi cho răng chắc khỏe hơn?

Chăm sóc và vệ sinh răng miệng đúng cách

Bạn cần đánh răng ít nhất 2 lần/ngày để loại bỏ mảng bám và vi khuẩn từ bề mặt răng. Ngoài ra, kỹ thuật đánh răng đúng cách cũng rất quan trọng, bạn nên sử dụng bàn chải lông mềm và đặt bàn chải ở góc 45 độ so với bề mặt răng, sau đó di chuyển theo đường chéo để đảm bảo hiệu quả làm sạch tối đa. Đồng thời, kết hợp sử dụng nước súc miệng và kem đánh răng có chứa fluoride để chống lại acid làm mòn men răng.

Kiểm tra sức khỏe răng miệng định kỳ

Bạn nên đến nha khoa để kiểm tra và làm sạch các mảng bám trên răng định kỳ 6 tháng/lần để nha sĩ có thể phát hiện và điều trị sớm các vấn đề liên quan đến men răng. Từ đó, bảo vệ răng khỏi các bệnh lý có thể gặp phải do men răng yếu như viêm tủy, sâu răng,...

Hạn chế tiêu thụ thực phẩm ảnh hưởng đến men răng

Cần hạn chế các thực phẩm có carbohydrate lên men như kẹo, bánh quy, nước ngọt,... hay các loại ngũ cốc ăn sáng chứa nhiều đường vì những sản phẩm này có thể kích thích vi khuẩn tạo acid, phá vỡ cấu trúc răng và gây mòn men răng.

Cách phòng ngừa tình trạng yếu men răng

  • Không sử dụng răng để cắn các vật cứng để tránh gây sứt mẻ, nứt răng và làm suy yếu men răng.

  • Hạn chế các loại thực phẩm và đồ uống như nước ngọt có gas, nước chanh hay các loại trái cây chua chứa nhiều acid. Nếu có sử dụng các loại thực phẩm này, bạn phải súc miệng bằng nước sạch ngay sau ăn để giảm thiểu tác động của acid lên men răng. 

  • Tránh tiêu thụ các loại thực phẩm chứa nhiều đường như bánh ngọt, kẹo,... quá nhiều vì có thể làm kích thích vi khuẩn trong miệng sản xuất aid, làm men răng yếu.

  • Không sử dụng các sản phẩm chứa cồn có thể làm khô miệng, gây mòn men răng. Thay vào đó, nên lựa chọn các loại kem đánh răng và nước súc miệng không chứa cồn để bảo vệ và duy trì độ ẩm trong miệng. 

  • Nhai kẹo cao su không đường sau bữa ăn giúp tăng cường sản xuất nước bọt, làm sạch miệng và ngăn ngừa khô miệng.

  • Uống ít nhất 2 lít nước/ngày để duy trì độ ẩm trong miệng, giảm thiểu tác động của các chất gây hại lên men răng.

  • Nếu có thói quen nghiến răng khi ngủ hoặc mắc các bệnh lý về đường tiêu hóa như trào ngược dạ dày,... nên điều trị kịp thời để giảm thiểu tác động lên men răng.

  • Lấy cao răng 2 lần/năm giúp loại bỏ mảng bám và các vết bẩn trên bề mặt răng, giữ cho răng sạch, chắc khỏe, giảm nguy cơ mòn men răng.

Câu hỏi thường gặp

Men răng yếu nên bổ sung gì?

Vitamin là một trong những yếu tố cần thiết để tăng cường hệ miễn dịch cho cơ thể, phòng tránh nhiều bệnh lý khác nhau, bao gồm cả những bệnh liên quan đến răng miệng. Vậy nên, khi men răng yếu, bạn nên bổ sung các loại vitamin A (rau xanh, khoai lang, cà rốt,...), vitamin C (cam, chanh, dưa hấu,...), vitamin D (sữa, trứng, cá,...), vitamin B (ngũ cốc, thịt, gan,...) và vitamin K (đậu nành, đậu xanh,...).

Men răng bị mài mòn có tự phục hồi không?

Men răng đã bị mài mòn hay mất đi thì không thể phục hồi được. Vì men răng là mô cứng được tạo ra bởi các nguyên bào men trong quá trình răng phát triển. Khi răng phát triển hoàn toàn, các nguyên bào men sẽ dần chết đi khiến khả năng tái tạo men răng không còn nữa.

Trên đây là tổng hợp những cách để khắc phục tình trạng men răng yếu tại nhà. Nếu tình trạng men răng yếu vẫn không được cải thiện, bạn nên đến nha khoa để được thăm khám và có biện pháp điều trị phù hợp.