12 Nguyên nhân gây hôi miệng phổ biến nhất hiện nay

Vệ sinh răng miệng không đúng cách

Đây là một nguyên nhân phổ biến gây hôi miệng mà nhiều người không để ý. Nếu đánh răng không đúng cách và không đủ thời gian, các mảng bám và vi khuẩn có thể tích tụ trên răng, lưỡi và nướu khiến bạn bị hôi miệng. Điều tương tự cũng có thể xảy ra nếu bạn chải răng nhưng không dùng chỉ nha khoa thường xuyên để loại bỏ thức ăn mắc ở các kẽ răng.

Nhiều người thường xuyên bỏ qua bước làm sạch lưỡi khi vệ sinh răng miệng nên dù chải răng đúng cách vẫn có thể khiến hơi thở có mùi. Giải pháp cho tình trạng này là sử dụng dụng cụ vệ sinh lưỡi hoặc nước súc miệng để loại bỏ hoàn toàn lượng vi khuẩn và thức ăn còn sót lại trong khoang miệng.

 

Vệ sinh răng miệng không đúng cách là nguyên nhân gây hôi miệng

Khô miệng

Đây là một trong những nguyên nhân chủ yếu gây hôi miệng. Nước bọt tự nhiên có nhiệm vụ làm sạch khoang miệng, loại bỏ vi khuẩn và thức ăn thừa còn sót lại. Khi xảy ra tình trạng suy giảm lượng nước bọt, vi khuẩn và thức ăn thừa bắt đầu phân hóa, để lại mùi hôi khó chịu trong miệng. Nếu tình trạng khô miệng kéo dài, bạn nên đi khám để được kiểm tra để được tư vấn cách điều trị phù hợp.

Viêm amidan

Viêm amidan là nguyên nhân phổ biến gây hôi miệng do nhiễm trùng màng nhầy quanh amidan, dẫn đến sự hình thành ổ mủ. Sự hiện diện của sỏi amidan hoặc các dị vật mắc kẹt trong hốc amidan càng làm trầm trọng thêm tình trạng này. Ngay cả đã điều trị khỏi viêm amidan, mùi hôi miệng vẫn có thể kéo dài trong vài tuần do quá trình phục hồi của niêm mạc.

Bọc răng sứ, niềng răng làm tăng nguy cơ mắc hôi miệng

Bọc răng sứ không đúng kỹ thuật cũng là một trong những nguyên nhân gây hôi miệng. Có một vài trường hợp, việc vệ sinh răng miệng không tốt sau khi bọc răng sứ có thể làm tình trạng hôi miệng trở nên nghiêm trọng hơn.

Đối với những trường hợp niềng răng, mùi hôi không phải là do niềng răng mà do vi khuẩn trong miệng gây ra. Một vấn đề phổ biến mà những người niềng răng thường gặp là thức ăn bị kẹt ở niềng hoặc các kẽ răng khiến cho vi khuẩn tích tụ và sinh sôi trong miệng. Đây chính là nguyên nhân gây ra tình trạng hôi miệng ở nhiều người. 

Hôi miệng xuất phát từ bệnh lý răng miệng

Các bệnh lý răng miệng như viêm quanh răng, viêm lợi, sâu răng,... tạo điều kiện thuận lợi cho vi khuẩn gây hôi miệng phát triển. Tình trạng viêm ở vùng hầu họng cũng là ổ chứa các vi khuẩn gây mùi.

Hôi miệng do hút thuốc lá

Nicotine có trong thuốc lá là nguyên nhân khiến lượng nước bọt trong miệng bị giảm. Nước bọt đóng vai trò tiêu diệt các vi khuẩn gây mùi trong miệng nên những người thường xuyên sử dụng thuốc lá sẽ gặp tình trạng hôi miệng do không đủ lượng nước bọt để làm sạch vi khuẩn gây mùi.

Bên cạnh đó, hút thuốc lá trong thời gian dài còn khiến răng ố vàng, làm mất thẩm mỹ răng miệng và có nguy cơ mắc một số bệnh lý nghiêm trọng như ung thư, bệnh tim mạch, phổi,... 

Nguyên nhân gây hôi miệng là do hút thuốc lá

Hơi thở có mùi do mùi đồ ăn, thức uống, thuốc

Các thực phẩm có mùi như hành hoặc tỏi có thể gây hôi miệng, đặc biệt là khi bạn không chải răng sau khi ăn. Một số trường hợp sau khi ăn tầm 1,2 tiếng bạn vẫn có thể ngửi được mùi hôi khi ợ hơi. Ngoài ra, cà phê hoặc soda dành cho người ăn kiêng cũng có thể gây hôi miệng.

Một số nghiên cứu chỉ ra rằng, ăn nhiều đồ ngọt sẽ tăng khả năng hôi miệng do đường là nguồn năng lượng lớn giúp vi khuẩn phát triển và gia tăng nhanh chóng, gây ra mùi hôi trong quá trình phân hủy đường và thức ăn. Bên cạnh đó, vài loại thuốc kháng sinh, thuốc điều trị tiểu đường, thuốc hóa trị,... cũng có thể khiến người sử dụng bị hôi miệng.

 

Nguyên nhân gây hôi miệng là mùi đồ ăn, thức uống, thuốc

Ăn kiêng hoặc thường xuyên bỏ bữa gây ra hôi miệng

Không chỉ là những gì bạn ăn, mà cả những gì bạn không ăn cũng có thể là nguyên nhân gây hôi miệng. Ví dụ, chế độ ăn kiêng ít carbohydrate cũng có thể dẫn đến hôi miệng. Khi cơ thể đốt cháy chất béo (thay vì carbohydrate) để tạo năng lượng, cơ thể sẽ tạo ra ketone, một hợp chất có mùi hôi và có thể dẫn đến hôi miệng.

 

Chế độ ăn uống có thể dẫn đến hôi miệng

Hơi thở có mùi vào buổi sáng

Đa phần hơi thở mọi người đều có mùi hôi với các mức độ khác nhau khi thức dậy vào buổi sáng. Hiện tượng này được xem là bình thường và diễn ra do miệng bị khô suốt nhiều giờ liền khi ngủ. Tình trạng này sẽ biến mất khi lượng nước bọt tăng nhanh chóng ngay khi bạn bắt đầu bữa sáng.

 

Miệng thường hôi vào buổi sáng

Hội chứng mùi cá

Hội chứng mùi cá là một bệnh lý ít gặp nhưng cũng cần phải lưu ý. Bệnh này khiến cơ thể và hơi thở của bạn toát ra mùi gần giống với mùi cá thối. Nguyên nhân dẫn đến hội chứng này là do cơ thể bị mất khả năng phân hủy trimethylaminuria khiến cơ thể phải giải phóng chất này ra ngoài thông qua mồ hôi, nước tiểu và hơi thở.

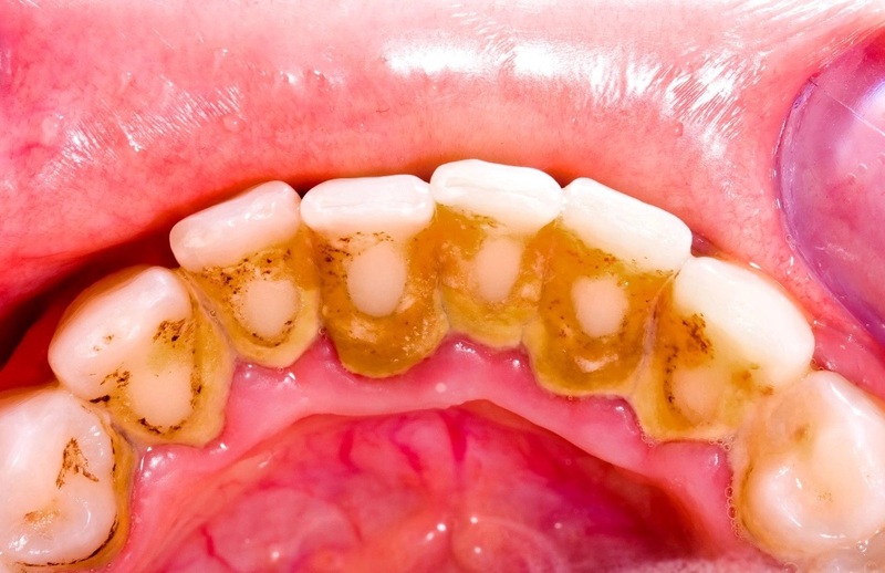
Hôi miệng do mảng bám, vôi răng

Vôi răng hay còn gọi là cao răng, là những mảng bám màu trắng hoặc vàng tích tụ trên bề mặt răng. Đây là các cặn khoáng hóa từ nước bọt và thức ăn kết hợp với vi khuẩn trong miệng. Chính những mảng bám này là nguyên nhân dẫn đến tình trạng hôi miệng, hơi thở có mùi. Ngoài ra, các mảng bám để lâu ngày sẽ khiến nướu bị kích ứng, gây ra bệnh viêm nha chu.

 

Nguyên nhân gây hôi miệng do mảng bám, vôi răng và nha chu

Hôi miệng do bựa lưỡi trắng

Lưỡi trắng xảy ra khi lưỡi của bạn bị nhiễm trắng từ vi khuẩn, nấm hoặc các tế bào chết dính vào gai lưỡi. Đây là môi trường thuận lợi để vi khuẩn phát triển và gây mùi hôi ở miệng.

>>>Xem thêm: Lưỡi Trắng và Chứng Hôi Miệng: Nguyên nhân và Cách điều trị

 

Hôi miệng do bựa lưỡi

Hôi miệng do bệnh lý dạ dày

Các hội chứng như trào ngược dạ dày thực quản, loét dạ dày do vi khuẩn HP, hở van dạ dày,... có thể là nguyên nhân gây ra tình trạng hôi miệng từ dạ dày. Khi thức ăn và axit ở dạ dày di chuyển lên thực quản, niêm mạc miệng sẽ bị bào mòn, tạo điều kiện cho vi khuẩn sinh mùi tấn công.

Hôi miệng do các bệnh lý y khoa khác

Người mắc bệnh về đường hô hấp, xoang và các bệnh nhiễm trùng khác cũng là một trong những nguyên nhân gây hôi miệng. Đối với trường hợp này, mùi hôi chỉ xuất hiện hoặc trở nên nghiêm trọng khi thở bằng mũi. Các bệnh lý khác có thể gây hôi miệng bao gồm tiểu đường, viêm dạ dày, bệnh thận, viêm phế quản và bệnh gan.

Cách nhận biết chứng hôi miệng

Để kiểm tra bản thân có bị hôi miệng hay không, bạn có thể thực hiện theo các cách sau:

  • Tự ngửi hơi thở của mình bằng cách dùng lòng bàn tay che miệng lại, sau đó thở ra bằng miệng và ngửi. Ngoài ra, bạn cũng có thể dùng cốc hoặc túi ni lông để kiểm tra mùi hơi thở.

  • Thực hiện động tác liếm cổ tay và chờ nước bọt ở cổ tay khô lại để ngửi.

  • Đến cơ sở y tế chuyên khoa để được kiểm tra và xác định tình trạng bệnh.

Điều trị hôi miệng dựa trên nguyên nhân

Giải quyết các nguyên nhân hôi miệng xuất phát từ miệng

  • Nếu nguyên nhân gây hôi miệng là do vệ sinh răng miệng không đúng cách, bạn cần thay đổi thói quen hàng ngày bằng cách dùng chỉ nha khoa thường xuyên và đánh răng đúng cách.

  • Trong trường hợp hôi miệng do bệnh nướu răng hoặc nha chu, việc điều trị chuyên sâu là cần thiết. Việc làm sạch nha chu sẽ giúp loại bỏ vi khuẩn, cao răng và mảng bám gây viêm nướu, từ đó giảm thiểu mùi hôi.

  • Đối với tình trạng tích tụ mảng bám trên diện rộng, bạn nên súc miệng bằng nước súc miệng kháng khuẩn để tiêu diệt vi khuẩn gây hại. Ngoài ra, việc chải lưỡi nhẹ nhàng mỗi khi đánh răng cũng là một cách hiệu quả để loại bỏ vi khuẩn bám trên lưỡi.

  • Để điều trị triệt để tình trạng hôi miệng, bạn nên khám nha khoa để được chẩn đoán chính xác và có phác đồ điều trị phù hợp.

Giải quyết các nguyên nhân gây hôi miệng không phát sinh từ miệng

  • Nếu nguyên nhân gây hôi miệng đến từ thói quen ăn uống, bạn nên hạn chế các loại thực phẩm có mùi mạnh, hăng hoặc dễ gây lên men như hành, tỏi, đồ ăn cay. Sau khi ăn những loại thực phẩm này, hãy vệ sinh răng miệng kỹ lưỡng để loại bỏ thức ăn thừa và vi khuẩn gây mùi.

  • Đối với hôi miệng do nhiễm trùng xoang hoặc các vấn đề về hô hấp, việc khám và điều trị chuyên sâu là rất cần thiết. Bác sĩ sẽ xác định chính xác nguyên nhân và đưa ra phác đồ điều trị phù hợp để khắc phục tình trạng hôi miệng.

  • Với những người mắc bệnh tiểu đường và các bệnh mãn tính khác, việc kiểm soát tốt bệnh nền là điều tiên quyết. Bác sĩ sẽ tư vấn và hướng dẫn các biện pháp vệ sinh răng miệng phù hợp để giảm thiểu mùi hôi, đồng thời giúp bạn kiểm soát tốt hơn tình trạng bệnh.

Cách phòng ngừa hôi miệng và duy trì hơi thở thơm mát

Để tự tin giao tiếp, bạn có thể áp dụng các cách trị hôi miệng như:

  • Đánh răng đúng cách ít nhất 2 lần/ngày và thay đổi bàn chải đánh răng định kỳ 2 - 3 tháng sử dụng.

  • Dùng chỉ nha khoa, bàn chải kẽ răng, máy tăm nước, nước súc miệng,... để làm sạch kẽ răng, làm giảm sự tích tụ của mảng bám.

  • Vệ sinh sạch sẽ răng giả, dụng cụ chỉnh nha.

  • Thường xuyên cạo lưỡi để làm sạch vi khuẩn tích tụ trên lưỡi.

  • Uống nhiều nước và hạn chế ăn thực phẩm làm giảm tiết nước bọt.

  • Hạn chế ăn các loại thực phẩm gây hôi miệng như hành tỏi, cá, cà phê, đồ uống có cồn,...

  • Nên ăn những thực phẩm có công dụng kích thích tiết nước bọt tốt như dâu tây, táo, mía, sữa chua, trà xanh,...

  • Định kỳ lấy cao răng 6 tháng/lần để loại bỏ tác nhân gây hôi miệng.

  • Điều trị dứt điểm tình trạng trào ngược dạ dày - tá tràng, bệnh gan,...

  • Sử dụng thuốc trị hôi miệng theo tư vấn từ nha sĩ.

Hy vọng những thông tin về nguyên nhân gây hôi miệng trong bài viết trên hữu ích với bạn đọc. Nếu bạn còn có những thắc mắc liên quan đến tình trạng bệnh của mình, hãy liên hệ trực tiếp với bác sĩ để được hỗ trợ kịp thời.

Các bài báo của Trung tâm Chăm sóc Răng miệng Colgate được xem xét bởi một chuyên gia y tế về sức khỏe răng miệng. Thông tin này chỉ dành cho mục đích giáo dục, không nhằm mục đích thay thế cho lời khuyên, chẩn đoán hoặc điều trị y tế chuyên nghiệp. Hãy luôn tìm kiếm lời khuyên của nha sĩ, bác sĩ hoặc nhà cung cấp dịch vụ chăm sóc sức khỏe đủ tiêu chuẩn khác.