Các nhà khoa học và các bác sĩ nha khoa khẳng định rằng, con sâu răng hoàn toàn không có thật và không tồn tại trong răng. Tình trạng sâu răng không phải do con sâu răng - một sinh vật sống gây ra mà là một thuật ngữ y khoa chỉ quá trình răng bị phá hủy do vi khuẩn Streptococcus mutans gây ra.
Theo dân gian nhiều người tin rằng có con sâu răng tồn tại trong răng và là nguyên nhân. Có rất nhiều người tự xưng là thầy thuốc có thể bắt con sâu răng bằng cách hít khói từ đất nung, dùng lá tía tô trị sâu răng,... Tuy nhiên, con sâu răng không có thật và các phương pháp bắt con sâu theo dân gian chưa được khoa học chứng minh có hiệu quả nên bạn tuyệt đối không được thực hiện để đảm bảo an toàn cho sức khỏe của mình.

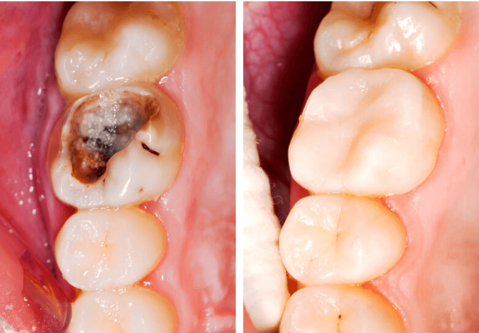
Sâu răng là một bệnh lý răng miệng xảy ra phổ biến ở cả người lớn và trẻ em gây ra nhiều vấn đề như đau nhức răng, hôi miệng,... Nguyên nhân sâu răng là do các vi khuẩn gây hại trong miệng sinh sống trên mảng bám răng và chuyển hóa đường từ thức ăn thành axit. Các axit này sẽ ăn mòn canxi và khoáng chất của men răng, phá hủy ngà răng và tạo thành những lỗ sâu răng màu nâu, đen.
Hình ảnh con sâu răng dưới kính hiển vi thực chất là các ống ngà răng. Những phần màu nâu, đen ngoe nguẩy trong răng sâu không phải là con sâu răng mà là các ống ngà răng bị lộ ra ngoài. Các ống ngà có nhiệm vụ dẫn truyền cảm giác đến thần kinh được sắp xếp theo mô hình xuyên tâm quanh tủy, có đường đi hình chữ S ở thân răng. Khi các ống ngà bị lộ ra sẽ gây đau đớn và chúng trông giống những con sâu khi nhìn bằng mắt thường. Nhưng các ống ngà không phải là những con sâu trong răng.
Theo Healthline, khái niệm con sâu răng được cho là nguyên nhân gây sâu răng có từ năm 5000 trước Công nguyên trong một văn bản của người Sumer. Sâu răng cũng được đề cập trong các văn bản cổ của Trung Quốc từ năm 1500 trước Công nguyên. Văn bản được khắc trên xương mô tả một con sâu răng tấn công miệng và răng.
Trước đây khi y tế chưa phát triển và kinh tế còn khó khăn, nhiều người đã nghiên cứu ra các biện pháp bắt con sâu răng tại nhà bằng các loại cây cỏ và vật liệu thô sơ. Cho đến thời điểm hiện tại, ở một số vùng sâu vùng xa vẫn còn áp dụng các phương pháp này gây hại đến sức khỏe. Dưới đây là lý giải sự thật về cách bắt con sâu trong răng được lưu truyền trong dân gian.
Ở Anh vào thời trung cổ, sâu răng được điều trị bằng cách hít khói đốt cháy hạt cây Henbane (Thiên tiên tử). Cây thiên tiên tử là một loại cây độc có thể gây chóng mặt đến mê sảng dù chỉ ăn phải một lượng nhỏ. Cách bắt con sâu răng được thực hiện bằng cách đốt hạt cây Thiên Tiên Tử, sau đó người bị sâu răng cần hít khói này và từ trong miệng sẽ rớt ra các con sâu răng.
Tuy nhiên, sự thật là tro của hạt thiên tiên tử khi bị đốt cháy sẽ trông giống những con giun trắng. Ngoài ra, cây thiên tiên tử có đặc tính gây mê làm giảm đau răng càng khiến nhiều người tin rằng có con sâu răng và có thể bắt con sâu răng.
Các thầy lang sẽ bắt con sâu răng theo “bí kíp gia truyền” bằng cách chuẩn bị một ít hạt màu đen đặt trên một viên gạch nung nóng và úp một cái phễu đặt ngược lên. Người bị sâu răng sẽ ngậm phễu vào miệng cho khói xộc vào miệng. Trong một khoảng thời gian ngắn, những con sâu theo như thầy lang nói sẽ rơi ra ngoài và quá trình bắt con sâu kết thúc.
Trên thực tế, đây chính là chiêu trò lừa đảo của thầy lang rởm không có chuyên môn sử dụng hạt màu đen không rõ nguồn gốc, thực chất là hạt tiêu tách làm đôi, bên trong sẽ có những sợi màu trắng trông giống con sâu răng. Khi tiếp xúc với nhiệt độ cao, những sợi này sẽ bị tách ra khỏi hạt và rơi ra ngoài, khiến người bệnh nhầm tưởng chúng là các con sâu răng thực sự.
Thầy lang sẽ nghiền nát 1 nắm lá tía tô non đã rửa sạch để ép lấy nước. Sau đó nhỏ nước lá tía tô này vào mặt của bệnh nhân để nước tràn xuống mũi rồi xuống miệng. Nước lá tía tô sẽ được các thầy lang nhỏ vào mắt liên tục cho đến khi con sâu răng chui ra ngoài.
Tuy nhiên theo khoa học và phỏng vấn với các chuyên gia chuyên khoa mắt thì vật thể màu trắng chui ra từ mắt bệnh nhân không phải con sâu răng. Đó là các sợi tơ huyết (sợi Fibrin) tạo thành các sợi màu trắng ra do kết mạc của mắt phản ứng viêm với tinh dầu lá tía tô khiến người ta lầm tưởng đó là con sâu răng. Phương pháp này không chữa khỏi sâu răng mà còn ảnh hưởng đến mắt, làm suy giảm thị lực và có thể dẫn đến mù lòa.
Trên đây là các cách bắt con sâu răng tại nhà chưa được khoa học chứng minh hiệu quả mà còn gây hại đến sức khỏe thậm chí là nguy hiểm đến tính mạng. Do đó, không khuyến khích người bệnh làm theo các cách bắt con sâu trong răng này. Nếu bạn phát hiện mình bị sâu răng, hãy đến thăm khám tại các phòng khám nha khoa uy tín được kiểm tra và điều trị triệt để.
Bệnh sâu răng gây ra nhiều cảm giác đau đớn và khó chịu cho người bệnh. Có một số cách điều trị sâu răng tại nha khoa giúp phục hồi răng và loại bỏ “con sâu răng” hiệu quả:
Điều trị sâu răng bằng Fluor. Bôi trực tiếp fluor lên răng có tác dụng tái khoáng chất, lấp đầy các lỗ sâu răng li ti giúp điều trị và ngăn ngừa sâu răng. Cách điều trị bằng Fluor này thường được chỉ định điều trị cho trường hợp sâu răng nhẹ, mới chớm ở giai đoạn đầu khi phát hiện sớm.
Trám răng bằng vật liệu trám. Răng bị sâu sẽ được nha sĩ làm sạch và trám răng lấp đầy vùng bị sâu và bảo vệ tủy bằng các vật liệu trám như trám răng amalgam, nhựa composite,...
Điều trị tủy răng. Lấy tủy răng được bác sĩ chỉ định điều trị nếu sâu răng đã lan đến tủy và ảnh hưởng dây thần kinh.
Nhổ răng sâu. Nếu răng bạn bị sâu nghiêm trọng, nha sĩ của bạn có thể sẽ phải nhổ và thay thế nó bằng cách trồng răng hay làm cầu răng.
Để tránh mắc bệnh sâu răng, bạn cần chú ý vệ sinh răng miệng sạch sẽ và chăm sóc răng miệng khỏe mạnh. Một số cách đơn giản để duy trì khoang miệng sạch khỏe:
Chải răng hai lần một ngày với bàn chải đánh răng lông mềm và kem đánh răng chứa Fluoride.
Dùng chỉ nha khoa thường xuyên để làm sạch mảng bám trên kẽ răng.
Súc miệng bằng nước súc miệng kháng khuẩn.
Khám răng định kỳ 06 tháng một lần tại nha khoa để kiểm tra sức khoẻ răng miệng và điều trị các bệnh lý răng miệng càng sớm càng tốt.
Không ăn vặt và đồ ăn chứa nhiều đường như kẹo, bánh,... Thay vào đó nên ăn nhiều trái cây, rau củ, sữa, trứng,... tốt cho sức khỏe răng miệng.
Qua bài viết trên đây, chúng ta đã biết con sâu răng không có thật và không tồn tại trong răng sâu. Sâu răng là do vi khuẩn sống trên mảng bám tạo ra axit ăn mòn men răng. Bạn không nên tin vào những cách bắt con sâu răng theo dân gian để tránh tiền mất tật mang. Để bảo vệ sức khoẻ răng miệng của mình và phòng ngừa bệnh sâu răng, bạn nên thực hiện các thói quen vệ sinh răng miệng đúng cách và thăm khám nha khoa định kỳ.
Nguồn tham khảo:
1. Nunez, K. (2020) Do tooth worms exist? myths debunked, and causes of Decay, Healthline. Available at: https://www.healthline.com/health/dental-and-oral-health/tooth-worm (Accessed: 18 July 2023).
2. WE, G. (1999) The tooth-worm: Historical aspects of a popular medical belief, Clinical oral investigations. Available at: https://pubmed.ncbi.nlm.nih.gov/10522185/ (Accessed: 18 July 2023).
3. M, G. (2021) Do ‘tooth worms’ really exist?, Dental Discount Plans in New Hampshire. Available at: https://www.wellnessdentalplan.com/blog/do-tooth-worms-really-exist (Accessed: 18 July 2023).
Các nhà khoa học và các bác sĩ nha khoa khẳng định rằng, con sâu răng hoàn toàn không có thật và không tồn tại trong răng. Tình trạng sâu răng không phải do con sâu răng - một sinh vật sống gây ra mà là một thuật ngữ y khoa chỉ quá trình răng bị phá hủy do vi khuẩn Streptococcus mutans gây ra.
Sâu răng là một bệnh lý răng miệng xảy ra phổ biến ở cả người lớn và trẻ em gây ra nhiều vấn đề như đau nhức răng, hôi miệng,... Nguyên nhân sâu răng là do các vi khuẩn gây hại trong miệng sinh sống trên mảng bám răng và chuyển hóa đường từ thức ăn thành axit. Các axit này sẽ ăn mòn canxi và khoáng chất của men răng, phá hủy ngà răng và tạo thành những lỗ sâu răng màu nâu, đen.