Sâu răng là gì?

Sâu răng là tình trạng men răng bị tấn công do axit sinh ra bởi vi khuẩn trong mảng bám răng. Sau đó, hình thành những lỗ sâu trắng li ti, nâu sẫm hoặc có màu đen. Vi khuẩn sâu răng này thường được biết đến với tên gọi là “Streptococcus mutans”, có khả năng phá hủy lớp men bảo vệ bên ngoài nhanh chóng, sau đó sẽ lan rộng vào mô cứng bên trong, hình thành các lỗ sâu màu đen từ nhỏ li ti đến lớn..

Sâu răng để lâu ngày có thể dẫn đến những bệnh lý nguy hiểm ở cả trẻ em và người lớn. Điển hình như nhiễm trùng nướu, chết tủy răng, áp xe răng, viêm nha chu, mất răng…

 

Dấu hiệu nhận biết răng bị sâu

Dưới đây là một số dấu hiệu nhận biết sâu răng đơn giản nhất:

  • Đau răng: Cảm giác đau nhói răng, nhức hoặc âm ỉ là triệu chứng chính của sâu răng. Cảm giác này xuất hiện khi men răng đã bị phá hủy và vi khuẩn tiếp cận phần ngà răng. Mức độ đau răng sâu nhẹ hoặc nặng tùy thuộc vào mức độ răng bị phá hủy và nhiễm trùng.

  • Răng trở nên nhạy cảm: Răng bị sâu sẽ đau dẫn đến tình trạng răng ê buốt và nhạy cảm hơn khi ăn các loại thức ăn hoặc đồ uống chứa đường hoặc quá nóng/quá lạnh.

  • Đau khi ăn: Răng sâu bị đau khi cắn hoặc nhai thức ăn. Cơn đau có thể tập trung vào khu vực bị sâu và trở nên rõ rệt khi tăng áp lực lên răng.

  • Biến đổi về màu sắc trên răng: Răng bị sâu lỗ to, lỗ nhỏ li ti trên răng mặc dù không thấy đau hoặc răng đổi màu đen, nâu, trắng ngà.

Răng sâu có thể phát triển bên dưới bề mặt răng, nơi bạn không thể nhìn thấy chúng. Cho dù sâu răng hình thành ở bất kỳ vị trí nào, cách tốt nhất để phát hiện và điều trị trước khi chúng trở nên nghiêm trọng là đến nha sĩ để kiểm tra định kỳ 6 tháng một lần.

Các loại sâu răng thường gặp

Dưới đây là các vị trí răng bị sâu phổ biến nhất:

  • Sâu răng cửa: Là loại sâu răng phổ biến nhất thường gặp ở trẻ em xảy ra trên bề mặt nhai của răng cửa hoặc giữa các kẽ răng.

  • Sâu chân răng: Khi tuổi càng cao, nướu răng càng yếu nên dễ bị tụt lợi, khiến cho một phần của chân răng bị lộ ra ngoài. Vì không có men răng bao phủ, những khu vực chân răng này dễ bị vi khuẩn tấn công gây sâu răng.

  • Sâu răng hàm: Sâu răng hàm là tình trạng khi các răng trong hàm bị tổn thương do vi khuẩn và axit gây ra.

  • Sâu răng thứ phát: Răng bị sâu thứ phát hình thành xung quanh những khu vực răng đã được trám hoặc mão răng. Tình trạng này xảy ra là do các khu vực này thường tích tụ mảng bám và vi khuẩn.

>> Tham khảo thêm:

Các giai đoạn của sâu răng

Sâu răng giai đoạn 1

Giai đoạn đầu tiên của sâu răng bắt đầu khi men răng tiếp xúc với axit do vi khuẩn mảng bám tiết ra. Khi mảng bám trên răng duy trì trong thời gian dài mà không được vệ sinh, bề mặt răng sẽ mất dần các khoáng chất. Ở giai đoạn này, những đốm nhỏ trên răng sẽ xuất hiện, biểu thị cho việc mất khoáng và men răng.

Sâu răng giai đoạn 2

Đây là quá trình men răng bị phá vỡ. Những đốm trắng trên răng bắt đầu chuyển sang màu nâu. Men răng bắt đầu suy yếu, khoáng chất bị mất đi nhiều hơn.

Sâu răng giai đoạn 3

Khi men răng bị mòn, mô bên dưới gọi là ngà răng bị lô ra ngoài. Ngà răng mềm hơn men răng nên dễ nhạy cảm hơn và dần phân hủy dưới tác động từ axit do vi khuẩn mảng bám tiết ra.

Trong ngà răng chứa các ống dẫn đến các dây thần kinh của răng. Vậy nên, khi ngà răng bị phân hủy, bạn sẽ cảm giác ê buốt răng.

Sâu răng giai đoạn 4

Sau khi ngà răng phân hủy, phần trong cùng của răng là tủy sẽ bị lộ ra ngoài. Sâu răng bắt đẩu tác động lên tủy răng gây nên tình trạng sưng tấy, đau nhức. Tổn thương tủy răng ở giai đoạn trễ sẽ không thể điều trị mà phải lấy tủy hoặc nhổ răng.

Sâu răng giai đoạn 5

Đây là giai đoạn sâu răng nặng nhất vì tủy bị ảnh hưởng nghiêm trọng. Lúc này, vi khuẩn sẽ xâm nhập vào bên trong răng và phát triển gần các mạch máu, dây thần kinh. Tình trạng này dẫn đến viêm tủy, áp xe răng, gây ra cảm giác đau dữ dội.

Nguyên nhân phổ biến khiến bạn bị sâu răng

Vi khuẩn

Vi khuẩn trong miệng được hình thành do sự tích tụ mảng bám và là nguyên nhân chính gây sâu răng. Vi khuẩn tạo ra một loạt axit từ thức ăn, đặc biệt là từ đường và tinh bột. Những axit này sẽ ăn mòn lớp men bảo vệ răng, tạo điều kiện cho các vi khuẩn phát triển và khiến răng bị sâu.

Vệ sinh răng miệng kém

Khi chăm sóc răng miệng không đúng cách, mảng bám có thể tích tụ trên bề mặt răng, tạo môi trường lý tưởng cho vi khuẩn phát triển và tạo ra axit. Một số thói quen vệ sinh răng miệng kém làm tăng nguy cơ bị sâu răng mà có thể bạn không để ý:

  • Không sử dụng chỉ nha khoa làm sạch kẽ răng sau khi ăn.

  • Đánh răng không đủ 2 phút.

  • Đánh răng không đều đặn, cách ngày.

  • Chải răng không đúng kỹ thuật.

  • Không sử dụng kem đánh răng chứa fluoride.

Mảng bám

Mảng bám là một lớp màng bám dính trên răng, bao gồm vi khuẩn, thức ăn thừa và các khoáng chất khác. Khi mảng bám không được loại bỏ hàng ngày sẽ tạo môi trường cho vi khuẩn phát triển, phá hủy lớp men bảo vệ răng và tăng nguy cơ bị răng sâu.

Tụt lợi

Tụt lợi được xem là một trong những nguyên nhân phổ biến gây sâu răng. Khi lợi bị tụt sẽ khiến chân răng bị lộ ra bên ngoài, các mảng bám sẽ hình thành trên rễ chân răng, tạo điều kiện cho các vi khuẩn phát triển gây sâu răng.

>>> Tìm hiểu thêm: 9 cách điều trị hôi miệng đơn giản tại nhà, hiệu quả triệt để sau 1 đêm

Mất men răng

Mất men răng là một trong những yếu tố làm tăng nguy cơ sâu răng. Một số nguyên nhân khiến men răng bị mất gồm có quá trình lão hóa tự nhiên của cơ thể, vệ sinh răng miệng không đúng cách, mắc bệnh lý có liên quan như trào ngược dạ dày,…

Hình dáng răng lồi lõm

Răng có hình thể lồi lõm khiến bàn chải đánh răng khó tiếp cận để làm sạch khi đánh răng. Do đó, những chiếc răng lồi lõm, có nhiều hố, khe nứt thường dễ bị sâu răng hoặc gặp các vấn đề răng miệng hơn.

Vị trí răng

Những chiếc răng hàm thường có nhiều rãnh, hố, khó vệ sinh hơn những chiếc răng cửa. Vì vậy, răng hàm có nguy cơ bị sâu nhiều hơn răng cửa.

Giảm tiết nước bọt

Nước bọt được tiết ra thường xuyên trong khoang miệng giúp rửa sạch mảng bám và thức ăn trên răng. Đồng thời, chống lại axit do vi khuẩn tạo ra. Tuy nhiên, khi sử dụng một số loại thuốc trị bệnh, xạ trị, hóa trị, cơ chế tiết nước bọt bị giảm đi đáng kể, làm tăng nguy cơ sâu răng.

Chế độ ăn nhiều đồ ngọt, có đường

Vi khuẩn sẽ chuyển hóa đường trong thức ăn để tạo axit gây hại cho răng. Ăn quá nhiều thức ăn và đồ uống có chứa đường, đặc biệt là các loại bánh kẹo ngọt và đồ uống có ga, có thể làm tăng nguy cơ sâu răng.

Vết trám lâu ngày

Sau thời gian dài, vết trám răng có thể yếu dần đi, tạo điều kiện cho mảng bám tích tụ. Từ đó, dẫn đến tình trạng răng bị sâu.

Ợ nóng

Ợ nóng, trào ngược dạ dày thực quản khiến axit dạ dày trào ngược lên khoang miệng. Lâu dần, tình trạng này khiến men răng bị mòn và tổn thương, dẫn đến răng dễ bị vi khuẩn tấn công, hình thành các đốm sâu răng.

>> Có thể bạn quan tâm:

Chẩn đoán sâu răng

Chẩn đoán xác định

  • Chẩn đoán tổn thương sâu răng ở giai đoạn sớm bằng các dấu hiệu lâm sàng: Để xác định chính xác sâu răng, nha sĩ sẽ dựa vào những dấu hiệu như: lỗ sâu trên răng, vết trắng trên bề mặt răng, hoặc thay đổi màu sắc khi chiếu đèn vào. Ngoài ra, khi chiếu đèn đặc biệt vào răng, vùng bị sâu sẽ cho kết quả khác biệt so với vùng răng khỏe mạnh. 

  • Chẩn đoán sâu răng giai đoạn hình thành bằng cách dựa vào các triệu chứng lâm sàng hoặc hình ảnh X-quang: Để chẩn đoán và phát hiện chính xác vùng răng bị sâu, nha sĩ sẽ dựa vào các triệu chứng lâm sàng, kết quả thăm khám và hình ảnh X-quang.

Chẩn đoán phân biệt

Chẩn đoán phân biệt sâu răng giai đoạn sớm thường dựa vào sự thay đổi màu sắc men răng so với các răng lành mạnh. Răng bị sâu thường có màu sẫm hơn hoặc trắng đục hơn so với răng bình thường. Đây là một trong những dấu hiệu đầu tiên cho thấy bạn đang gặp vấn đề về răng miệng. Nếu bạn nhận thấy bất kỳ sự thay đổi nào về màu sắc răng, hãy đến gặp nha sĩ để được khám và tư vấn kịp thời. 

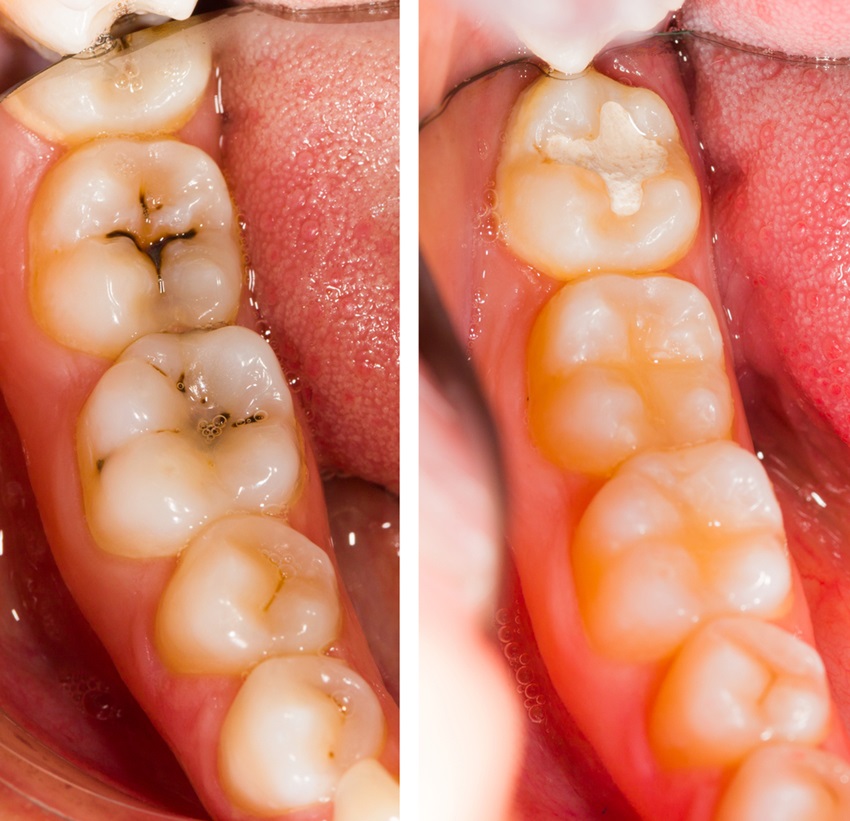
Biện pháp điều trị sâu răng

Nha sĩ thường khuyến nghị các phương pháp điều trị răng sâu theo mức độ sâu răng:

  • Phương pháp tái khoáng hóa để làm cứng men răng bằng Canxi hoặc Flour, thường áp dụng cho sâu răng giai đoạn đầu.

  • Làm sạch lỗ răng sâu và trám răng thường áp dụng cho răng bị sâu nhưng chưa đến tủy hoặc dây thần kinh răng.

  • Phương pháp chụp tủy răng được chỉ định cho trường hợp sâu răng đã lan đến tủy hoặc dây thần kinh nhưng vẫn có khả năng phục hồi tự nhiên.

  • Lấy tủy răng được chỉ định cho những trường hợp chân răng hoặc tủy răng bị chết hoặc bị thương. Sau đó sẽ nha sĩ sẽ trám kín ống tủy để ngăn chặn vi khuẩn xâm nhập.

  • Bọc răng sứ để khôi phục lại hình dáng và kích thước ban đầu đối với những trường hợp bị sâu răng nặng.

  • Nhổ răng sâu và trồng răng thay thế cho những trường hợp răng bị sâu quá nghiêm trọng và không thể khôi phục.

Cách trị sâu răng tại nhà

Bạn có thể áp dụng các cách trị sâu răng tại nhà sau đây để giảm cơn đau nhức:

Trị sâu răng tại nhà bằng tỏi

Thành phần của tỏi chứa nhiều Fitonxit, Glycogen có khả năng diệt vi khuẩn, giảm sưng viêm co sâu răng. Để điều trị sâu răng tại nhà, bạn chỉ cần giã nhuyễn tỏi, sau đó đắp trực tiếp lên răng bị sâu. Thực hiện cách làm này liên tục mỗi ngày trong 2 - 3 tuần, tình trạng sâu răng có thể được chữa khỏi.

Trị sâu răng tại nhà lá bạc hà

Các bước trị sâu răng tại nhà lá bạc hà như sau:

  • Bước 1: Ngâm lá bạc hà khô trong nước sôi khoảng 20 phút.

  • Bước 2: Súc miệng hàng ngày bằng nước lá bạc hà đã ngâm.

Bạc hà có công dụng giảm đau và kháng khuẩn rất tốt nên thường được dùng để giảm chứng đau nhức răng.

Cách phòng ngừa sâu răng hiệu quả

Sâu răng khiến cuộc sống sinh hoạt của bạn bị đảo lộn. Do đó, hãy ngăn ngừa sâu răng ngay từ bây giờ bằng những cách sau:

  • Chăm sóc răng miệng đúng cách: Chải răng ít nhất hai lần một ngày và dùng chỉ nha khoa hàng ngày để loại bỏ mảng bám ở kẽ răng và bên dưới đường viền nướu.

  • Thăm khám răng nha khoa thường xuyên: Kiểm tra răng miệng định kỳ 6 tháng/1 lần có thể giúp phát hiện và ngăn chặn các vấn đề về răng miệng không để chúng phát triển thành tình trạng nghiêm trọng hơn.

  • Sử dụng kem đánh răng chứa Fluoride: Bạn có thể củng cố men răng, chống sâu răng tốt hơn bằng cách sử dụng kem đánh răng có chứa fluoride được ADA phê duyệt như Colgate Maximum Cavity ProtectionColgate Total®.

  • Hạn chế ăn các loại thực phẩm giàu tinh bột hoặc đường.

  • Ăn thức ăn giúp tăng tiết nước bọt, làm sạch mảnh thức ăn thừa như trái cây, rau quả tươi, cà phê không đường, trà và kẹo cao su không đường.

  • Tránh thức ăn dễ mắc kẹt trong kẽ răng. 

>> Tham khảo thêm:

Câu hỏi thường gặp khi bị sâu răng

Sâu răng có lây không?

Sâu răng có thể lây truyền sang người khác thông qua việc dùng chung bát đũa, đồ dùng sinh hoạt,... Cha mẹ được khuyên không nên hôn trẻ nhỏ hay mớm thức ăn cho con vì có thể làm tăng nguy cơ bị sâu răng cho trẻ. Tuy nhiên, tỷ lệ lây nhiễm sẽ rất thấp nếu như thực hiện việc chăm sóc răng miệng đúng cách.

Sâu răng có di truyền không?

Theo một số nghiên cứu, sâu răng có thể bị ảnh hưởng từ yếu tố di truyền. Nếu bố mẹ bị sâu răng, con cái có nguy cơ bị sâu răng cao hơn những người khác.

Sâu răng có lây sang răng khác không?

Nếu không được điều trị kịp thời, sâu răng có thể lây từ răng này sang răng khác.

Đánh răng có hết sâu răng không?

Đánh răng chỉ là phương pháp phòng ngừa sâu răng, không hề có tác dụng điều trị bệnh sâu răng. Khi thực hiện đánh răng đúng cách, mảng bám và thức ăn thừa được loại bỏ thì nguy cơ sâu răng phát triển sẽ giảm bớt.

Sâu răng có nguy hiểm không?

Khi không được điều trị kịp thời và đúng cách, sâu răng có thể dẫn đến viêm tủy răng, hoại tử, làm cho khu vực hàm mặt bị nhiễm trùng. Tình trạng nhiễm trùng nặng sẽ dẫn đến nhiễm trùng máu hoặc lan rộng xuống trung thất, ảnh hưởng nghiêm trọng tới sức khỏe, thậm chí là tính mạng.

Trên đây là thông tin liên quan về sâu răng là gì và nguyên nhân, cách điều trị, phòng ngừa sâu răng. Hy vọng bạn sẽ chăm sóc răng miệng tốt để có một nụ cười luôn khỏe mạnh ngay hôm nay!