Phân loại sâu răng

Phân loại sâu răng theo mức độ

Theo các chuyên gia nha khoa, sâu răng được chia thành 3 loại dựa trên mức độ ảnh hưởng như sau:

  • Sâu răng độ 1 (mức độ nhẹ).

  • Sâu răng độ 2 (sâu răng ăn vào tủy).

  • Sâu răng độ 3 (tủy răng bị viêm nhiễm).

Phân loại sâu răng theo vị trí

 

Theo vị trí bị ảnh hưởng, sâu răng được phân thành 2 loại sau:

  • Sâu thân răng (răng bị sâu trên bề mặt hoặc các kẽ răng).

  • Sâu chân răng (răng bị sâu ở phần chân răng, dẫn đến tụt nướu).

Xem thêm:

3 mức độ sâu răng

Sâu răng mức độ 1 (mức độ nhẹ)

 

Đây là mức độ sâu răng nhẹ nhất khi răng mới bắt đầu bị vi khuẩn tấn công. Dấu hiệu dễ nhận biết nhất là sự xuất hiện của các vết lốm đốm đen hoặc trắng đục trên bề mặt răng. Bởi vì giai đoạn này chưa gây ra cảm giác đau nhức, khó chịu nên người bệnh thường chủ quá, ít phát hiện ra răng đang bị sâu.

Để ngăn chặn tình trạng sâu răng tiến triển nặng hơn, bạn nên vệ sinh răng miệng kỹ càng và đến nha sĩ để thăm khám định kỳ 6 tháng/lần.

Sâu răng mức độ 2 (sâu ăn vào tủy)

 

Sau khi tấn công lớp men răng và ngà răng, vi khuẩn sẽ tiến vào sâu trong tủy. Lúc này, người bệnh sẽ có cảm giác đau răng khi ăn uống. Đồng thời, bề mặt răng xuất hiện các lỗ đen lớn hơn.

Khi sâu răng ăn vào trong tủy, bạn cần đến nha khoa thực hiện trám răng càng sớm càng tốt để ngăn chặn sự phát triển của sâu răng.

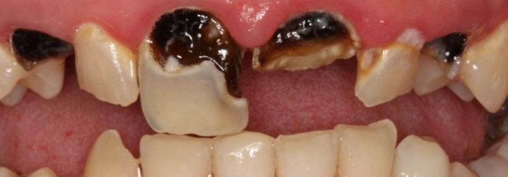
Sâu răng mức độ 3 (viêm nhiễm tủy răng)

 

Đây là mức độ sâu răng có ảnh hưởng đến sức khỏe nhiều nhất. Vi khuẩn sâu răng đã ăn sâu vào đáy chân răng, hình thành ổ viêm nhiễm, gây ra viêm tủy răng. Việc này còn làm tăng nguy cơ áp xe răng, mất răng, nhiễm trùng máu,... Lúc này, bạn sẽ cảm nhận được nhiều cơn đau nhức dữ dội, đặc biệt là vào ban đêm.

Khi sâu răng ở mức độ 3, bạn cần đến nha khoa để điều trị kịp thời. Trường hợp tủy bị phá hủy nhiều, bác sĩ sẽ chỉ định nhổ răng sâu để tránh nguy cơ nhiễm trùng xương hàm.

Xem thêm:

Các giai đoạn sâu răng

Giai đoạn 1 sâu men răng

 

Men răng là lớp ngoài cùng của răng có chức năng bảo vệ ngà răng và tủy răng khỏi những tác động tiêu cực từ vi khuẩn. Men răng được hình thành từ các khoáng chất nên rất chắc chắn. Tuy nhiên, trong thời gian dài tiếp xúc với axit từ vi khuẩn mảng bám tiết ra, men răng yếu dần và mất đi các khoáng chất. Sau đó, các đốm trắng bắt đầu xuất hiện trên bề mặt răng. Đây là dấu hiệu sâu răng giai đoạn 1.

 

Giai đoạn 2 sâu ngà răng

 

Khi men răng bị mất, vi khuẩn sẽ tiến vào phá hủy ngà răng. Lúc này, lỗ sâu sẽ lớn và sâu hơn, gây ra cảm giác đau nhức, khiến răng ê buốt khi ăn đồ nóng lạnh.

 

Giai đoạn 3 viêm tủy răng

 

Đây là giai đoạn sâu răng đã tiến vào tủy và khiến tủy tổn thương, viêm nhiễm. Các cơn đau sẽ ngày càng dữ dội ngay cả khi không có tác động nào lên răng. Đặc biệt, ban đêm là thời điểm người bệnh cảm thấy đau nhiều nhất.

 

Giai đoạn 4 chết tủy

 

Nếu tủy không được điều trị kịp thời, tủy răng sẽ bắt đầu hoại tử và chết dần. Sau đó, vi khuẩn lại chuyển sang khu vực khác xung quanh răng để tấn công như mô nướu, xương ổ răng,... gây ra tình trạng tiêu xương hàm, nhiễm trùng máu,...

Trên đây là những các phân loại sâu răng phổ biến nhất hiện nay. Để hạn chế tiến triển sâu răng, bạn cần chủ động đề phòng bệnh bằng các biện pháp như sau:

  • Đánh răng ít nhất 2 lần/ngày, 2 phút/lần.

  • Sử dụng chỉ nha khoanước súc miệng diệt khuẩn để loại bỏ vi khuẩn, mảng bám tích tụ.

  • Tăng cường bổ sung rau xanh, trái cây.

  • Hạn chế ăn đồ ngọt, sử dụng chất kích thích.

  • Khám răng và lấy cao răng định kỳ 6 tháng một lần.