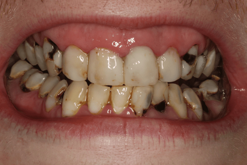
Sâu chân răng phát triển như thế nào?

Sâu chân răng là trường hợp axit ăn mòn ngà gốc răng, là lớp men răng bao phủ chân răng. Theo ADA, các lớp men bao quanh chân răng thường mỏng và mềm hơn so với lớp men ở các bộ phận khác của răng, vì thế rất dễ bị sâu răng. Theo cơ sở dữ liệu từ hệ thống Cochrane Database of Systematic Reviews (CDSR), sâu chân răng phát triển nhanh gấp đôi so với các loại sâu răng khác.

Dù sâu răng hình thành trên hàm chân răng hay trên một phần răng bị lộ ra, cách sâu răng phát triển là như nhau. Sâu răng hình thành là kết quả của axit do vi khuẩn trong miệng tạo ra. Theo Hiệp Hội Nha Khoa Hoa Kỳ (ADA) giải thích, các axit trong mảng bám phá hủy các khoáng chất bảo vệ men răng và sự ăn mòn này gây ra "các lỗ nhỏ đốm trắng" hoặc lỗ sâu trên răng, đây chính là giai đoạn đầu tiên của sâu răng.

Một yếu tố khác cũng góp phần khiến sâu chân răng phát triển là tụt nướu. Chân răng bị lộ ra ngoài khi nướu tụt khỏi răng. Hệ thống CDSR nhận định, chân răng chỉ có thể bị sâu nếu lộ ra ngoài do bệnh nha chu hoặc khi bị tụt nướu. Sâu răng thường phát triển ở bên dưới nướu hoặc ngay tại đường viền nướu.

>>Xem thêm: Nguyên nhân tụt lợi chân răng và cách điều trị hiệu quả

 

 

Nguyên nhân chính gây sâu chân răng

Một số thói quen xấu thường ngày là nguyên nhân chủ yếu gây ra tình trạng chân răng đen và tổn thương. Dưới đây là các tác nhân làm sâu chân răng mỗi ngày:

  • Không thường xuyên vệ sinh răng miệng, vệ sinh răng miệng sai cách.

  • Sử dụng bàn chải kém chất lượng.

  • Vấn đề tuổi tác.

  • Yếu tố di truyền.

  • Các bệnh lý về răng miệng như viêm nha chu, nướu răng,...

  • Bệnh tiểu đường.

  • Hút thuốc lá.

 

 

Những ai có nguy cơ bị sâu chân răng?

Cũng theo Hiệp hội Nha Khoa Hoa Kỳ (ADA) bất cứ ai cũng có thể bị sâu răng, nhưng những người lớn tuổi thường có nguy cơ cao hơn. Trên thực tế, những người trên 70 tuổi thường có khả năng phát triển bệnh nha chu hơn do suy thoái các mô cơ khi cơ thể lão hóa. Điều này giải thích cho tỷ lệ sâu chân răng ở người lớn tuổi cao hơn người trẻ là do người già dễ bị tụt nướu hơn so với người trẻ.

Ngoài ra, thói quen chăm sóc răng miệng cũng sẽ ảnh hưởng trực tiếp tới nguy cơ sâu chân răng. Nếu người già mất đi sự linh hoạt, thao tác đánh răng và dùng chỉ nha khoa trở nên khó khăn dẫn đến dễ bị sâu răng. Vì thế việc tìm cách duy trì vệ sinh răng miệng phù hợp người lớn tuổi là điều vô cùng quan trọng.

Hơn nữa, theo đánh giá của cơ sở dữ liệu Cochrane Database of Systematic Reviews (CDSR), các thói quen như hút thuốc lá, uống cà phê, nước ngọt, ăn vặt liên tục, ăn kẹo dẻo... đều là các tác nhân dễ gây sâu răng.

 

 

Cách điều trị sâu chân răng

Điều trị sâu chân răng cũng giống như cách điều trị các loại sâu răng khác. Nếu nha sĩ phát hiện lỗ sâu răng sớm, họ có thể giúp ngăn ngừa sâu răng tiến triển và bảo vệ răng khỏi bị hư hại thêm. Theo CDSR có nhiều cách điều trị sâu chân răng tại nhà bao gồm: 

  • Chải răng bằng kem đánh răng có chứa Fluoride 2 lần một ngày.

  • Sử dụng nước súc miệng giảm mảng bám trên răng, nhám do nha sĩ khuyến nghị.

  • Đến phòng khám nha khoa định kỳ ba tháng/một lần hoặc theo chỉ định của bác sĩ.

  • Tránh ăn vặt và uống nước ngọt thường xuyên.

  • Cân nhắc phương pháp điều trị bằng Fluoride.

  • Hỏi thêm bác sĩ về các phương pháp điều trị kháng khuẩn cũng như các phương pháp điều trị kết hợp khác.

Thông thường, bạn sẽ cần phục hình răng để điều trị sâu răng, nếu tình trạng sâu chân hàm răng nghiêm trọng đến mức khiến người bệnh đau đớn hoặc gặp trở ngại khi ăn uống, nhai, cắn. Phục hình răng bao gồm thao tác loại bỏ khu vực răng bị sâu, sau đó trám răng bằng các vật liệu phục hồi như nhựa composite hoặc trám amalgam.

Cách ngừa sâu chân răng

Việc ngăn ngừa hình thành sâu chân răng và các loại sâu răng khác là hoàn toàn khả thi. Theo chuyên trang y khoa Youmed, thực hiện các bước dưới đây có thể giúp bạn phòng ngừa sâu răng:

  • Giữ vệ sinh răng miệng tốt, chải răng ít nhất hai lần mỗi ngày, sử dụng kem đánh răng Colgate có chứa Fluoride. (Nếu gặp khó khăn khi đánh răng, bạn nên sử dụng bàn chải điện).

  • Bạn có thể lựa chọn thêm một vài biện pháp hỗ trợ như: dùng bàn chải kẽ mềm, chỉ nha khoa, tăm nước, nước súc miệng...

  • Chế độ ăn lành mạnh, hạn chế đồ ăn và thức uống chứa nhiều đường.

  • Bạn nên đi khám răng định kỳ sáu tháng một lần.

  • Hỏi ý kiến nha sĩ về các phương pháp điều trị dự phòng chuyên sâu như áp gel fluor hoặc chỉnh hình răng (niềng răng).

Ngoài ra, nếu bạn bị tụt nướu, hãy hỏi chuyên gia nha khoa về cách chữa tụt nướu răng đồng thời giảm nguy cơ phát triển sâu răng. Kết hợp thăm khám với nha sĩ, bạn hoàn toàn có thể từng bước điều trị và phòng ngừa loại sâu răng này.

Bài viết trên Colgate đã đưa ra nguyên nhân và cách phòng ngừa sâu chân răng giúp bạn bảo vệ sức khỏe răng miệng trước các tác nhân gây hại. Bạn nên kiểm tra định kỳ răng miệng thường xuyên tại nha khoa để được tư vấn và chăm sóc răng miệng theo liệu trình hiệu quả nhất.