Dấu hiệu răng khôn bị sâu

Răng khôn (răng số 8) là chiếc răng mọc cuối cùng của hàm và thường có ở người trưởng thành từ 17 - 25 tuổi. Do vị trí mọc bị khuất, khó vệ sinh nên răng khôn thường dễ bị sâu hơn các răng khác. Một số dấu hiệu nhận biết răng khôn bị sâu là:

  • Xuất hiện các đốm nâu đen trên bề mặt răng: Đây là dấu hiệu phổ biến nhất của sâu răng. Vi khuẩn tấn công men răng, gây mất khoáng chất và hình thành các lỗ rỗng trên bề mặt răng, thường xuất hiện dưới dạng các đốm nâu đen.

  • Đau nhức, sưng tấy vùng nướu: Răng khôn bị sâu thường đi kèm với cảm giác đau nhức âm ỉ, kéo dài. Nguyên nhân là do vi khuẩn xâm nhập vào các mô mềm, làm sưng nướu, viêm nướu răng và gây ra các cơn đau khó chịu cho người bệnh.

  • Nhạy cảm với thức ăn và đồ uống: Khi răng khôn bị sâu, lớp men bảo vệ bề mặt của răng bị ăn mòn, làm cho các dây thần kinh trong răng trở nên nhạy cảm hơn. Do đó, khi tiếp xúc với các loại thực phẩm nóng, lạnh, chua, bạn có thể cảm thấy răng bị ê buốt và đau nhói.

  • Hôi miệng: Vi khuẩn phát triển mạnh mẽ do sâu răng khôn khiến người bệnh dễ mắc phải tình trạng hôi miệng.

Nguyên nhân khiến răng khôn bị sâu

Răng khôn bị sâu thường do những nguyên nhân sau đây:

  • Răng khôn thường mọc ở phía cuối hàm nên việc chăm sóc và vệ sinh trở nên rất khó khăn. Dù bàn chải đánh răng hay chỉ nha khoa cũng khó tiếp cận khu vực này, dẫn đến việc thức ăn thừa và mảng bám vẫn còn tồn tại trên bề mặt răng, tạo điều kiện thuận lợi cho sự phát triển của vi khuẩn gây sâu răng.

  • Răng khôn thường mọc muộn nhất nên không có quá nhiều khoảng trống để phát triển. Điều này dẫn đến việc răng khôn thường mọc lệch, mọc ngang, hoặc bị kẹt trong xương, mô nướu,... khiến cho việc chăm sóc và vệ sinh răng miệng trở nên phức tạp hơn.

  • Răng khôn cũng là răng hàm, có cấu trúc nhiều khe, kẽ và mặt nhai lớn. Do đó, thức ăn dễ bị mắc kẹt và tồn tại trong các kẽ răng, đây là môi trường lý tưởng cho vi khuẩn sinh sống, phát triển và dần dần tích tụ phá hủy men răng, dẫn đến tình trạng răng khôn bị sâu.

Xem thêm: 

  • Viêm lợi: Nguyên nhân, dấu hiệu và cách chữa tại nhà

  • Nướu trắng là bệnh gì? Nguyên nhân và cách điều trị

Có nên nhổ răng khôn bị sâu không?

Răng khôn bị sâu nên nhổ đi vì không đóng vai trò quan trọng trong chức năng nhai hay về mặt thẩm mỹ. Bên cạnh đó, răng khôn bị sâu còn có thể gây ảnh hưởng đến răng lân cận nên cần nhổ càng sớm càng tốt.

Cách điều trị răng khôn bị sâu

Phương pháp điều trị sâu răng khôn sẽ được chỉ định phù hợp với tình trạng của từng bệnh nhân. Dưới đây là một số cách điều trị phổ biến thường được áp dụng: 

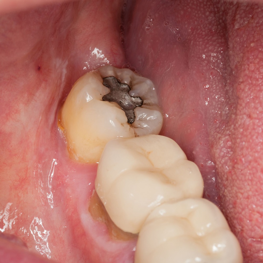
Trám răng

Đây là phương pháp được áp dụng cho những trường hợp răng khôn bị sâu nhẹ, mọc thẳng và không ảnh hưởng đến các răng lân cận. Quy trình trám răng được thực hiện bằng cách:

  • Bước 1: Vệ sinh răng miệng sạch sẽ, nhất là vùng răng khôn bị sâu.

  • Bước 2: Bác sĩ dùng dụng cụ chuyên dụng để loại bỏ vùng răng sâu.

  • Bước 3: Dùng vật liệu trám để lấp đầy lỗ sâu và ngăn vi khuẩn phát triển. Vật liệu này sẽ có màu giống với răng thật nên bạn hoàn toàn có thể yên tâm về tính thẩm mỹ của phương pháp này.

Điều trị nội nha

Trong trường hợp sâu răng đã ăn vào tủy, điều trị nội nha là phương pháp được chỉ định thực hiện. Bác sĩ sẽ tiến hành làm sạch phần tuỷ bị tổn thương và viêm nhiễm, sau đó trám bít ống tuỷ để ngăn vi khuẩn tiếp tục xâm nhập. Mặc dù răng thật vẫn được bảo tồn nhưng vì mất một phần tủy răng - bộ phận nuôi dưỡng và dẫn truyền cảm giác mà răng có thể trở nên yếu và nhạy cảm hơn bình thường.

Sử dụng thuốc

Trong trường hợp răng khôn bị sâu nhẹ và lỗ sâu còn nhỏ, bác sĩ có thể kê các loại thuốc giúp tăng cường men răng. Ngoài ra, bạn có thể sử dụng thêm thuốc giảm đau và kháng sinh răng để giảm cảm giác đau nhức và ngăn ngừa vi khuẩn phát triển.

Xem thêm: Làm thế nào để ngăn ngừa và phòng bệnh sâu răng?

Lưu ý khi điều trị răng khôn bị sâu

Trong quá trình điều trị răng khôn bị sâu, bạn cần lưu ý những điều sau:

  • Sau khi nhổ răng, nên cắn chặt miếng bông tiệt trùng trong khoảng thời gian từ 30 đến 40 phút để máu đông lại, hạn chế tình trạng máu tràn ra khoang miệng, giảm nguy cơ nhiễm trùng.

  • Nên ăn các món ăn giàu protein, dễ tiêu hóa và chứa nhiều vitamin trong giai đoạn hồi phục sau nhổ răng, tránh thức ăn có vị chua, cay, quá nóng hoặc quá lạnh để không ảnh hưởng đến vùng hàm bị tổn thương.

  • Trong vòng 24 giờ sau khi nhổ răng, người bệnh nên dùng nước muối để vệ sinh nhẹ nhàng. Sau đó có thể sử dụng nước súc miệng với lực vừa đủ để làm sạch, tránh gây tổn thương.

  • Không dùng rượu bia hoặc thuốc lá trong vòng một tuần sau khi nhổ răng khôn.

  • Trong trường hợp cảm thấy đau nhức sau quá trình nhổ răng, người bệnh nên tham khảo ý kiến của bác sĩ về việc sử dụng thuốc giảm đau. Tuyệt đối không tự ý sử dụng hoặc thay đổi liều lượng thuốc mà không có sự chỉ định của bác sĩ.

  • Tránh chạm vào vùng răng đã được điều trị bằng ngón tay. Đối với những người đã nhổ răng, cần hạn chế nói chuyện nhiều trong ngày đầu sau phẫu thuật.

Xem thêm: 6 dấu hiệu, biểu hiện sâu răng điển hình nhất

Cách giảm đau răng khôn bị sâu tại nhà hiệu quả

Để giảm tình trạng đau nhức và khó chịu do răng khôn bị sâu gây ra, bạn có thể áp dụng một số biện pháp điều trị tại nhà như sau: 

  • Súc miệng bằng nước muối ấm: Nước muối ấm có khả năng sát trùng, giúp giảm tình trạng viêm nhiễm do sâu răng khôn. Bạn có thể hòa tan 2 – 3 muỗng cà phê muối vào nước ấm, sau đó sử dụng dung dịch này để súc miệng từ 2 – 3 lần/ngày.

  • Giảm đau bằng lá bạc hà: Lá bạc hà chứa các hợp chất có tác dụng giảm đau và kháng viêm, thường được sử dụng để làm kem đánh răng. Bạn có thể thực hiện đơn giản bằng cách xay nhuyễn lá bạc hà và chiết lấy nước. Sau đó, ngâm một miếng bông gòn vào nước bạc hà và đắp trực tiếp lên vùng răng khôn. 

  • Chườm lạnh: Chườm đá lạnh sẽ làm tê dây thần kinh xung quanh vùng răng bị đau, giúp giảm cảm giác đau nhức hiệu quả. Bạn có thể thực hiện bằng cách đặt đá lạnh vào túi chườm, sau đó áp lên vùng má tại vị trí sâu răng khôn.

  • Chế độ ăn uống hợp lý: Nên ăn những thức ăn mềm, dễ nhai và chứa nhiều vitamin để hỗ trợ quá trình phục hồi răng. Tránh những thực phẩm cứng, khô và chứa nhiều đường, acid.

  • Sử dụng túi trà: Chất tanin trong trà có tính kháng khuẩn và chống viêm tốt, giúp làm giảm cơn đau răng mà không gây ra tác dụng phụ. Bạn có thể cho túi trà đã pha vào tủ lạnh, sau đó đặt lên vùng nướu sưng trong khoảng 15 phút để giảm đau do răng khôn bị sâu.

Xem thêm: Tình trạng ổ răng bị khô sau khi nhổ răng

Câu hỏi thường gặp

Nhổ răng khôn bị sâu có ảnh hưởng gì không?

Nhổ răng khôn bị sâu giúp cải thiện tình trạng sức khỏe răng miệng. Răng khôn bị sâu thường gây ra nhiều vấn đề như đau nhức, khó chịu, khiến cho việc ăn uống và nói chuyện trở nên khó khăn hơn.

Nhổ răng khôn bị sâu hết bao nhiêu tiền?

Giá nhổ răng khôn bị sâu thường phụ thuộc vào nhiều yếu tố, bao gồm độ khó, vị trí, tình trạng răng mọc, mức độ sâu,... Thông thường, giá có thể dao động từ 1.000.000 đến 5.000.000 đồng/răng. Để biết chính xác về chi phí và quy trình nhổ răng khôn, bạn nên chủ động đến trực tiếp phòng khám nha khoa để được các bác sĩ thăm khám và tư vấn. 

Nhổ răng số 8 bị sâu sau bao lâu thì hết đau?

Sau khi thuốc gây tê hết tác dụng, bạn sẽ cảm nhận rõ rệt cơn đau nhức ở vùng răng bị nhổ. Cảm giác này thường xuất hiện trong vòng 2 – 3 ngày đầu tiên sau quá trình nhổ răng khôn và dần biến mất sau khoảng 1 tuần.

Răng khôn bị sâu nên trám hay nhổ?

Răng khôn mọc ở vị trí sâu bên trong hàm, rất khó để tiếp cận khiến việc làm sạch gặp nhiều khó khăn. Trong trường hợp răng khôn bị sâu gây cho bạn cảm giác đau nhức và khó chịu, tốt nhất nên nhổ bỏ để tránh những biến chứng không mong muốn về sau. 

Hy vọng thông qua bài viết trên, bạn đã nắm được những dấu hiệu, nguyên nhân và cách xử lý răng khôn bị sâu. Việc điều trị kịp thời sẽ giúp bạn tránh khỏi những biến chứng nguy hiểm và bảo vệ sức khỏe răng miệng một cách hiệu quả.