Tụt lợi là gì?

Tụt lợi hay tụt nướu là tình trạng mô nướu bao quanh chân răng bị ăn mòn hay tụt thấp xuống gần cuống răng khiến cho thân răng bị lộ ra bên ngoài gây ra cảm giác đau, khó chịu. Tụt lợi có thể xảy ra trên một vài răng hoặc cả hàm trên và hàm dưới kèm theo các triệu chứng như chảy máu chân răng, viêm nướu, hôi miệng,...

Tụt lợi: Phương pháp điều trị, ngăn ngừa tụt lợi hiệu quả

Dấu hiệu tụt lợi chân răng phổ biến nhất

Dưới đây là một số triệu chứng phổ biến nhất của tình trạng tụt lợi chân răng:

  • Dễ chảy máu chân răng khi đánh răng hoặc dùng chỉ nha khoa.

  • Nướu sưng, tấy đỏ, có cảm giác đau nhức và khó chịu.

  • Hôi miệng

  • Chân răng bị lộ khiến răng bị ê buốt, nhạy cảm với đồ ăn nóng, lạnh hoặc quá cay.

  • Răng lung lay.

  • Nướu bị co rút lại, răng không được bao bọc chắc chắn, dễ bị lung lay.

  • Khoảng cách giữa các chân răng tăng lên.

  • Gặp khó khăn khi nhai thức ăn.

 
Tụt lợi khiến chân răng lộ ra ngoài

Nguyên nhân gây tụt lợi

Tụt lợi có thể do nhiều nguyên nhân khác nhau. Dưới đây là 3 nhóm nguyên nhân chính gây tụt lợi:

Nguyên nhân tụt lợi do lực tác động

  • Chải răng, dùng chỉ nha khoa quá mạnh sẽ khiến phần lợi mỏng và co rút dần, dẫn đến tụt lợi.

  • Răng xô lệch, không thẳng hàng sẽ gây ma sát quá mức lên khu vực đó khiến phần lợi quanh chân răng bị tụt.

  • Thường xuyên nghiến răng khi ngủ không chỉ gây tụt lợi mà còn dễ dẫn đến nhiều bệnh lý răng miệng khác như mòn men răng, ê buốt răng, răng lung lay,...

  • Tụt lợi do chấn thương mô nướu có thể khiến lợi bị tụt tại vị trí tổn thương hoặc vùng xung quanh đó.

  • Chăm sóc răng miệng không đúng cách, bao gồm chải răng sai kỹ thuật, không sử dụng chỉ nha khoa thường xuyên và không làm sạch kẽ răng, cũng có thể dẫn đến tụt lợi.

 
Tụt lợi do lực tác động

Nguyên nhân tụt lợi do bệnh lý răng miệng

Tụt lợi cũng có thể là triệu chứng của các bệnh nha khoa khác:

  • Viêm nướu: Một trong những nguyên nhân phổ biến nhất gây tụt lợi là viêm nướu. Nếu không được điều trị kịp thời, viêm nướu có thể làm suy yếu mô liên kết và dẫn đến tụt lợi.

  • Viêm nha chu: Tụt lợi, lộ chân răng là một trong những dấu hiệu của viêm nha chu. Viêm nha chu là tình trạng tiến triển nặng hơn của bệnh viêm mô nướu bao quanh răng.

  • Cao răng: Cao răng tích tụ quanh chân răng nếu không được vệ sinh thường xuyên sẽ làm lợi bị tụt, dẫn đến chảy máu chân răng.
 
Tích tụ cao răng là nguyên nhân gây tụt lợi

Nguyên nhân tụt lợi do sinh lý

Các vấn đề sinh lý của cơ thể cũng có thể gây tụt lợi (tụt nướu), chẳng hạn như:

  • Do di truyền: Giống như các phần còn lại của cơ thể, đặc điểm của nướu răng cũng được xác định bởi gen di truyền. Nếu cha hoặc mẹ đã và đang bị tụt lợi thì bạn có nguy cơ cao bị tụt lợi.

  • Quá trình lão hoá: Khi tuổi tác tăng cao, mô liên kết và xương hàm có thể bị suy yếu và gây tụt lợi. Tỷ lệ tụt lợi ở trẻ em chỉ 8% nhưng ở người trưởng thành sau 50 tuổi lên tới 100%.

  • Thay đổi nội tiết tố: Đây được xem là nguyên nhân hàng đầu gây tụt lợi ở phụ nữ vì dễ bị vi khuẩn tấn công vào những giai đoạn hệ miễn dịch suy yếu như dậy thì, mang thai hoặc mãn kinh.

Các yếu tố làm tăng nguy cơ bị tụt lợi

Nguy cơ mòn lợi dẫn đến tụt lợi có thể tăng nếu răng của bạn đang gặp một trong các vấn đề sau đây:

  • Mô nướu bao quanh chân răng mỏng.

  • Teo mô nướu bao quanh chân răng ở người già.

  • Phanh niêm mạc bám cao khiến lợi co kéo tự do khi ăn, dễ dẫn đến bong lợi, mắc thức ăn, vi khuẩn tấn công và gây viêm nhiễm lợi.

Cách điều trị tụt lợi theo từng mức độ

Điều trị tụt lợi nhẹ

Nếu bạn chỉ bị tụt nướu nhẹ, việc điều trị sẽ khá đơn giản. Khi phát hiện bệnh sớm, bạn có thể sẽ không cần phải thực hiện điều trị nha khoa chuyên nghiệp để khắc phục vấn đề tụt lợi. Nha sĩ sẽ giúp bạn xác định nguyên nhân và hướng dẫn bạn cách xử lý tại nhà.

Nếu bạn cần phải điều trị, nha sĩ sẽ tiến hành lấy cao răng sau đó cho gel ngậm flour hay thuốc trị viêm lợi. Đây thường là giải pháp khi bị tụt lợi là do viêm nha chu gây ra. Bạn cũng sẽ được hướng dẫn về cách chăm sóc răng miệng tốt nhất để phục hồi sức khỏe răng miệng.

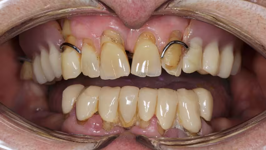
Điều trị tụt lợi nặng

Khi tình trạng tụt lợi phát triển nặng, bạn cần phải đến nha khoa thường xuyên để theo dõi, kiểm tra và có phác đồ điều trị phù hợp. Tùy thuộc vào nguyên nhân gây tụt nướu, bạn có thể phải điều trị bằng phương pháp phẫu thuật ghép lợi để phục hồi lại phần nướu che phủ chân răng. Bác sĩ phẫu thuật sẽ hỗ trợ và cung cấp cho bạn những thông tin cần thiết liên quan đến phương pháp điều trị này.

 
Tình trạng tụt lợi nặng

Cách chữa răng bị tụt lợi hiệu quả tại nhà

Tham khảo một số phương pháp dân gian sau để chữa tụt lợi hiệu quả:

  • Súc miệng với nước trà xanh.

  • Súc miệng với dung dịch pha loãng tinh dầu bạch đàn.

  • Súc miệng với dầu dừa, dầu mè hoặc tinh dầu khuynh diệp (lưu ý dầu khuynh diệp chưa pha loãng có thể gây ra tình trạng bỏng mô nướu).

  • Dùng mật ong tẩm vào vùng nướu sau khi đã vệ sinh sạch sẽ trong 5 phút rồi súc miệng.

  • Dùng tỏi giã nát rồi lấy nước bôi vào vùng bị tụt lợi sau khi vệ sinh sạch sẽ.

Cách ngăn ngừa bệnh tụt lợi hiệu quả

Chăm sóc răng miệng đúng cách

Chăm sóc răng miệng đúng cách là phương pháp ngăn ngừa tụt lợi cũng như các bệnh lý nha khoa khác hiệu quả. Bạn nên đánh răng 2 lần một ngày (buổi sáng sau khi ăn và buổi tối trước khi đi ngủ), mỗi lần ít nhất 2 phút. Kết hợp sử dụng chỉ nha khoa làm sạch kẽ răng thường xuyên 1 ngày 1 lần hoặc sau khi ăn xong.

Bạn nên đổi sang loại bàn chải có kích thước phù hợp, đầu lông tròn, mềm để đảm bảo làm sạch răng nhưng không gây tác động mạnh lên nướu, chẳng hạn như Colgate Gentle Comfort Clean. Đồng thời, bạn cũng cần kết hợp sử dụng nước súc miệng diệt khuẩn hoặc nước muối sinh lý để tăng hiệu quả làm sạch mảng bám.

Thăm khám nha khoa định kỳ

Khám răng định kỳ sẽ giúp bạn phát hiện sớm những dấu hiệu bất thường và có biện pháp điều trị kịp thời. Ngoài ra, bạn cũng nên lấy cao răng định kỳ 6 tháng 1 lần để hạn chế tình trạng tích tụ cao răng, sớm phát hiện và khắc phục các vấn đề răng miệng khác.

Câu hỏi thường gặp khi bị tụt lợi chân răng

Tụt lợi có tự khỏi không?

Tụt lợi không thể tự khỏi vì phần nướu không có khả năng tự bồi đắp lại như ban đầu. Vậy nên, khi phát hiện bị tụt lợi, bạn cần thăm khám nha khoa để được kiểm tra và điều trị kịp thời.

Tụt lợi chân răng có nguy hiểm không?

Tụt lợi ở mức độ nhẹ không quá ảnh hưởng nên nhiều người chủ quan không điều trị khiến tình trạng bệnh trở nên nặng hơn, dẫn đến những biến chứng ảnh hưởng đến sức khỏe như:

  • Tụt lợi khiến chân răng bị lộ ra, làm răng ê buốt và nhạy cảm với đồ ăn nóng, lạnh hoặc có tính acid.

  • Tụt lợi tạo điều kiện cho mảng bám, thức ăn thừa, vi khuẩn tích tụ ở vùng chân răng, kẽ răng, dễ dẫn đến tình trạng sâu răng.

  • Ảnh hưởng đến thẩm mỹ răng miệng, đặc biệt là khi bị tụt lợi ở khu vực răng cửa.

  • Do không còn phần bảo vệ chân răng nên vi khuẩn dễ dàng tấn công răng dẫn đến viêm tủy răng, thậm chí là mất răng.

Bệnh tụt lợi có thể chữa khỏi hoàn toàn được không?

Tụt lợi có thể được điều trị khỏi hoàn toàn với các phương pháp như:

  • Điều trị khẩn cấp với thuốc kháng sinh, kháng viêm.

  • Điều trị không phẫu thuật cố định răng, lấy vôi răng và đánh bóng.

  • Điều trị phẫu thuật loại bỏ túi nha chu, phẫu thuật tái tạo xương mô nha chu, phẫu thuật ghép nướu.

Chữa tụt lợi bao nhiêu tiền?

Tùy vào tình hình bệnh lý, phương pháp điều trị, mức độ chuyên môn của nha sĩ,... mức giá chữa tụt lợi sẽ khác nhau. Để biết chi tiết, bạn nên liên hệ trực tiếp phòng khám nha khoa uy tín.

Đâu là những loại thuốc trị tụt lợi chân răng hiệu quả?

Dưới đây là một số loại thuốc điều trị tụt lợi hiệu quả mà bạn có thể tham khảo. Tuy nhiên, bạn nên hỏi ý kiến nha sĩ, bác sĩ có chuyên môn trước khi sử dụng để tránh tác dụng ngược lên nướu.

  • Thuốc trị tụt lợi chân răng Dent Health R Lion Nhật Bản.

  • Thuốc trị tụt lợi chân răng GumiMouth.

  • Thuốc trị tụt lợi, hở chân răng Emofluor.

  • Thuốc trị tụt lợi Dentosmin P Gel.

  • Kem bôi trị tụt lợi chân răng viêm lợi Metrogyl Denta.

  • Thuốc trị tụt lợi bằng kháng sinh Metronidazol.

  • Thuốc trị tụt lợi chân răng Ciprofloxacin.

  • Thuốc chữa tụt lợi chân răng Amoxicillin.

  • Thuốc trị tụt lợi chân răng Clindamycin.

Trên đây là các thông tin về tụt lợi là gì, nguyên nhân, dấu hiệu và cách phòng ngừa tụt lợi. Tụt lợi mặc dù không gây nguy hiểm nhưng lại khiến chúng ta gặp nhiều rắc rối khó chịu. Vậy nên ngay khi có dấu hiệu về tình trạng này, bạn hãy xem xét lại thói quen vệ sinh răng miệng và đến gặp nha sĩ để có hướng xử lý hiệu quả.

Các bài báo của Trung tâm Chăm sóc Răng miệng Colgate được xem xét bởi một chuyên gia y tế về sức khỏe răng miệng. Thông tin này chỉ dành cho mục đích giáo dục, không nhằm mục đích thay thế cho lời khuyên, chẩn đoán hoặc điều trị y tế chuyên nghiệp. Hãy luôn tìm kiếm lời khuyên của nha sĩ, bác sĩ hoặc nhà cung cấp dịch vụ chăm sóc sức khỏe đủ tiêu chuẩn khác.