Bệnh bạch sản niêm mạc miệng là gì?

Bạch sản là tình trạng những mảng màu trắng xuất hiện ở niêm mạc bên trong miệng, đặc biệt là mặt trong của gò má, nướu và lưỡi. Bệnh bạch sản niêm mạc miệng thường ít gây hại nhưng trong một số trường hợp, bệnh có thể dẫn đến biến chứng nguy hiểm như ung thư miệng. Do đó, bạn cần đến gặp bác sĩ ngay khi có những thay đổi bất thường trong miệng.

Bệnh bạch sản được chia thành 2 loại chính sau đây:

  • Bạch sản đồng nhất: Các mảng bạch sản có màu sắc, hình dáng tương đối đồng đều. Bệnh này thường lành tính và không dẫn đến ung thư miệng.

  • Bạch sản không đồng nhất: Các mảng bạch sản có màu trắng hoặc đỏ, hình dạng kỳ lạ như phẳng hoặc nổi lên. Loại bạch sản này ít phổ biến nhưng có nguy cơ cao trở thành ung thư miệng.

Bên cạnh đó, bạch sản còn được chia thành 2 phân nhóm theo loại virus gây bệnh:

  • Bạch sản mụn cóc tăng sinh (Proliferative verrucous leukoplakia - PVL): Các mảng bạch sản nhỏ, màu trắng, thường phát triển trên lưỡi, nướu, mô mềm giữa môi - nướu - mô lót bên trong má. Đây là dạng bạch sản ít gặp nhưng cực kỳ nguy hiểm, nhiều nghiên cứu cho thấy 60% người mắc bệnh này sẽ bị ung thư miệng.

  • Bạch sản lông miệng (Oral hairy leukoplakia): Dạng bạch sản này thường do nhiễm HIV/AIDS hoặc virus Epstein-Barr gây ra và tiến triển thành ung thư miệng. Các mảng lông màu trắng, thường xuất hiện ở các nếp gấp trên lưỡi hoặc những khu vực khác trong miệng.

Tìm hiểu thêm:

Dấu hiệu phổ biến khi bị bệnh bạch sản

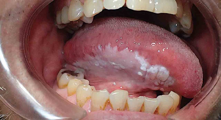
  • Xuất hiện mảng màu trắng và xám bám chặt bên trong má, mô nướu, vòm miệng hoặc hàm dưới, mặt trên và mặt dưới của lưỡi.

  • Những mảng loét có kết cấu không đều, có thể phẳng hoặc dày lên.

  • Các vết loét không gây đau đớn nhưng lại khiến niêm mạc miệng nhạy cảm hơn đối với đồ cay nóng.

  • Các mảng bám này không thể vệ sinh hoặc cạo sạch được.

  • Bạch sản dạng lông thường xuất hiện mảng lông trắng mờ dạng nếp gấp.

  • Trường hợp xuất hiện đốm đỏ có thể là dấu hiệu bị ung thư miệng.

Nguyên nhân gây nên bệnh bạch sản

Hút thuốc lá là nguyên nhân chủ yếu dẫn đến bệnh bạch sản. Bên cạnh đó, bạch sản cũng có thể xuất phát từ một số nguyên nhân khác như:

  • Chấn thương má trong do vết cắn, va chạm.

  • Răng không đều, mọc lệch, thường cọ xát vào bề mặt lưỡi.

  • Răng giả.

  • Cơ thể bị viêm.

  • Virus Epstein-Barr (EBV).

Đối tượng có nguy cơ cao mắc bệnh bạch sản

Tỷ lệ mắc bệnh bạch sản ở nam giới thường cao gấp 2 lần nữ giới. Đồng thời, bệnh này xuất hiện phổ biến ở độ tuổi 50 - 70.

Những yếu tố làm tăng nguy cơ mắc bệnh bạch sản gồm có: hút thuốc lá, uống rượu bia, sử dụng chất kích thích.

Phương pháp chẩn đoán bệnh bạch sản

Phương pháp chẩn đoán bệnh bạch sản gồm có:

  • Khám răng miệng lâm sàng.

  • Quan sát hình thái của các vết loét trong miệng để xem xét là dấu hiệu của bệnh bạch sản hay nấm miệng thông thường.

  • Tìm hiểu tiền sử bệnh, tiền sử dùng thuốc, thói quen sinh hoạt (có sử dụng thuốc lá, rượu bia không?).

  • Xét nghiệm tìm virus Epstein-Barr.

Nếu các mảng trắng không biết mất sau 2 - 4 tuần và chưa xác định được nguyên nhân chính, bác sĩ sẽ tiến hành sinh thiết để kiểm tra, chẩn đoán ung thư.

Điều trị bệnh bạch sản niêm mạc miệng

Điều trị bệnh bạch sản bằng thuốc và các chất bổ sung

  • Sử dụng retinoids đường uống để làm giảm các tổn thương (lưu ý đến tác dụng phụ).

  • Dùng thực phẩm bổ sung vitamin A và beta-carotene đường uống có thể làm sạch mảng trắng nhưng khi ngừng sử dụng thì bệnh lại tái phát.

  • Bổ sung isotretinoin giúp phòng ngừa ung thư miệng hiệu quả hơn  beta-carotene.

  • Cải thiện các vấn đề răng miệng như răng mọc lộn xộn, mắc cài răng, răng giả làm tổn thương niêm mạc miệng,...

  • Sử dụng thuốc kháng virus để làm giảm các mảng bám bạch sản dạng lông.

Điều trị ngoại khoa

  • Phẫu thuật loại bỏ các mảng tổn thương nhưng vẫn tồn tại 10 - 20% khả năng sẽ tái phát bệnh và 3 - 12% có nguy cơ tiến triển thành ung thư miệng.

  • Laser để loại bỏ các tổn thương.

  • Liệu pháp quang động là phương pháp sử dụng thuốc điều trị được kích hoạt bằng ánh sáng.

  • Phương pháp áp lạnh để loại bỏ những tổn thương ở miệng.

  • Sử dụng kim đốt nóng bằng điện để loại bỏ các tổn thương.

Ngoài ra, bạn cũng cần chăm sóc răng miệng và phòng ngừa đúng cách cùng Kem đánh răng Colgate MaxFresh, kem đánh răng Colgate Optic White, một loại kem đánh răng có thể giúp giảm nguy cơ nhiễm trùng của bệnh nhân sau khi trải qua quá trình sinh thiết hoặc cắt bỏ vùng bị nhiễm bạch sản.

Phòng ngừa bệnh bạch sản niêm mạc miệng

Để ngăn ngừa bệnh bạch sản, bạn cần lưu ý các vấn đề sau:

  • Bỏ thuốc lá, hạn chế hít khói thuốc.

  • Hạn chế sử dụng rượu bia.

  • Khám nha khoa định kỳ để kịp thời phát hiện các vấn đề răng miệng.

  • Ăn nhiều rau xanh, hoa quả chứa các chất oxy hóa.

  • Hạn chế ăn thực phẩm cay nóng, dễ gây kích ứng niêm mạc miệng.

Câu hỏi liên quan đến bệnh bạch sản

Bệnh bạch sản có nguy hiểm không?

Bệnh bạch sản không nguy hiểm và không gây hại cho cơ thể. Tuy nhiên, trong một số trường hợp, bệnh có thể diễn tiến xấu thành ung thư miệng và kéo theo nhiều vấn đề sức khỏe liên quan.

Bệnh bạch sản miệng có lây không?

Bệnh bạch sản niêm mạc miệng là bệnh không lây nhiễm từ người này sang người khác.

Nếu bạn phát hiện các mảng trắng trong miệng, bạn nên liên hệ với nha sĩ càng sớm càng tốt. Mặc dù hầu hết các trường hợp mắc bệnh bạch sản không nguy hiểm, nhưng nếu phát hiện càng sớm thì tỷ lệ điều trị thành công càng cao.