Cao răng là gì?

Cao răng (vôi răng) là lớp mảng bám cứng bị vôi hóa bởi các khoáng chất trong nước bọt, tích tụ và bao phủ dưới chân răng, đường viền nướu. Cao răng bám lâu ngày là nguyên nhân gây kích ứng nướu và một số bệnh răng miệng như sâu răng, viêm nướu…

Phân loại cao răng

Cao răng có 2 loại gồm cao răng thường và cao răng huyết thanh: 

  • Cao răng thường: Cao răng thường hình thành phía trên đường viền nướu, có màu trắng đục hoặc vàng nhạt. Đối với những người thường xuyên hút thuốc lá sẽ có màu sẫm hơn. Cao răng thường nếu kéo dài sẽ gây viêm nướu, chảy máu chân răng,...

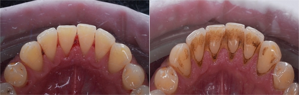
  • Cao răng huyết thanh: Cao răng thường nếu không điều trị kịp thời, gây chảy máu nướu, máu ngấm vào mảng bám chuyển thành màu nâu đỏ gọi là cao răng huyết thanh. Cao răng huyết thanh xuất hiện trong khe hở (kẽ) giữa răng và đường viền nướu. Cao răng này thường có màu nâu hoặc răng đen và chứa nhiều vi khuẩn hơn, gây viêm nướu và đẩy nhanh tốc độ nhiễm trùng chân răng.

     

Cao răng dưới nướu có màu nâu hoặc đen và thường đi cùng tình trạng viêm nha chu.

Cao răng có bao nhiêu cấp độ?

Cao răng cấp độ 1

Cao răng cấp độ 1 là dấu hiệu ban đầu của sự hình thành mảng bám. Ở giai đoạn này, mảng cao răng còn khá mỏng, với tông màu nhạt và có thể thấy một ánh trắng nhẹ ở viền nướu. Việc chải răng đều đặn có thể giúp giảm bớt cao răng, nhưng không thể loại bỏ hoàn toàn.

Cao răng cấp độ 2

Bước vào cấp độ 2, cao răng trở nên dày và cứng hơn nhiều so với cấp độ 1, tuy nhiên vẫn có màu nhạt. Ở giai đoạn này, cao răng đã bám chặt vào bề mặt răng và cần sử dụng dụng cụ cạo vôi răng chuyên biệt để có thể làm sạch hiệu quả.

Cao răng cấp độ 3

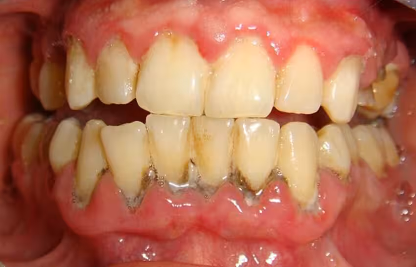
Cao răng cấp độ 3 dễ dàng nhận ra bởi màu vàng sậm. Các mảng bám thường xuất hiện ở mặt trong của răng, với độ dày và cứng chắc, khiến việc loại bỏ trở nên khó khăn. Trong một số trường hợp, cao răng cấp độ 3 cũng có thể xuất hiện ở mặt ngoài của răng.

Cao răng cấp độ 4

Cao răng cấp độ 4 được xem là giai đoạn nghiêm trọng nhất, khi các mảng bám đã chuyển sang màu sậm hơn, thậm chí là màu đen. Ở giai đoạn này, cao răng không chỉ bám chặt mà còn bắt đầu xâm nhập vào chân răng và xương hàm, làm tăng nguy cơ mắc phải nhiều bệnh lý nghiêm trọng về răng miệng.

Cao răng hình thành như thế nào?

Bề mặt răng sau khi ăn khoảng 15 phút sẽ hình thành các màng vô khuẩn. Đây là nơi các vi khuẩn bám dính, lâu ngày vi khuẩn tích tụ càng nhiều sẽ hình thành các mảng bám trên bề mặt răng.

Các mảng bám khi mới hình thành có thể dễ dàng làm sạch bằng bàn chải hoặc chỉ nha khoa. Nhưng khi tồn tại lâu ngày, chúng sẽ bị vôi hóa bởi các hợp chất muối vô cơ trong nước bọt và các yếu tố khác trở nên cứng hơn, bám chắc vào răng. Lúc này, các mảng bám đã trở thành cao răng, bạn chỉ có thể làm sạch tại phòng khám nha khoa.

 

Cao răng hình thành từ sự tích tụ của chất cặn cứng của muối vô cơ và cặn mềm bám chặt vào bề mặt răng.

Nguyên nhân hình thành cao răng

Khi chúng ta tiêu thụ thực phẩm và đồ uống, đặc biệt là các món ăn giàu đường, vi khuẩn trong khoang miệng sẽ hấp thụ đường và phát triển thành những mảng bám. Nếu không được loại bỏ kịp thời, sự kết hợp giữa vi khuẩn, thức ăn thừa và nước bọt sẽ tạo điều kiện cho cao răng hình thành trên bề mặt răng. Chính vì vậy, thói quen vệ sinh răng miệng kém chính là nguyên nhân hàng đầu dẫn đến sự xuất hiện của cao răng.

Tác hại của cao răng

  • Hôi miệng, vàng răng: Cao răng hình thành do các mảng bám từ thức ăn thừa trong miệng. Lâu dần sẽ gây nên tình trạng hơi thở có mùi và răng bị ố vàng gây mất tự tin trong giao tiếp.

  • Bệnh nha chu, viêm nướu, sâu răng: Cao răng bám chặt vào chân răng khiến việc vệ sinh răng miệng trở nên khó khăn hơn. Từ đó, vi khuẩn dễ dàng xâm nhập, dẫn đến nguy cơ mắc các bệnh nướu răng như viêm nướu, sâu răng,....

  • Tụt lợi: Cao răng tích tụ trong thời gian dài có thể phát triển về kích thước, đẩy lợi xuống gây tụt lợi, khiến răng dễ lung lay và có khả năng mất răng.

  • Ảnh hưởng đến thẩm mỹ răng miệng do cao răng sẽ hấp thụ màu của thức ăn và đồ uống làm xỉn màu răng.

>>> Xem thêm: Cách điều trị tưa miệng do nấm Candida ở người lớn và trẻ em

Cách nhận biết sự tích tụ của cao răng

Bạn có thể dễ dàng phát hiện sự tích tụ của cao răng thông qua màu sắc của răng. Khi bề mặt răng bắt đầu xuất hiện những vết ố vàng hoặc nâu, đó chính là dấu hiệu cho thấy cao răng đã và đang hình thành. Trong các buổi kiểm tra và làm sạch răng định kỳ, nha sĩ sẽ phát hiện và loại bỏ lớp mảng bám cứng đầu này.

Vì sao phải lấy cao răng định kỳ?

Lấy cao răng định kỳ là biện pháp hạn chế tổn thương nướu và ngăn ngừa bệnh lý răng miệng hiệu quả. Theo Hiệp hội Nha khoa Hoa Kỳ (ADA), cao răng tích tụ lâu ngày có thể làm cho nướu bị sưng và chảy máu. 

Tình trạng này được gọi là viêm lợi - giai đoạn đầu của bệnh viêm nha chu. Ngoài ra, lấy cao răng định kỳ còn giúp ngăn ngừa một số bệnh về răng miệng như sâu răng, hơi thở có mùi,... đồng thời bảo vệ cấu trúc xương hàm và sự vững chắc của chân răng.

Bên cạnh các lợi ích trực tiếp đối với sức khỏe răng miệng, lấy cao răng còn hạn chế khả năng viêm nhiễm lây ra các vùng lân cận như viêm amidan, viêm xoang, viêm họng. Quá trình này giúp ngăn ngừa viêm nội mạc do vi khuẩn gây ra, tăng hiệu quả trong điều trị bệnh đái tháo đường.

Nên lấy cao răng định kỳ bao lâu một lần?

Mặc dù việc lấy cao răng đem lại nhiều lợi ích, nhưng nếu thực hiện quá thường xuyên có thể gây chảy máu và viêm nhiễm. Do đó, nha sĩ sẽ dựa vào tình trạng răng miệng của từng người để đưa ra lời khuyên phù hợp.

  • Với những người chăm sóc răng miệng tốt, ít cao răng: Nên lấy cao răng định kỳ 6 tháng/lần.

  • Người thường xuyên sử dụng thuốc lá, cà phê, rượu, bia: Nên thực hiện lấy cao răng 3 - 4 tháng/lần.

  • Trẻ em dưới 10 tuổi: Cần lấy cao răng theo hướng dẫn và chỉ định cụ thể của nha sĩ.

Trường hợp nên và không nên lấy cao răng

Các trường hợp nên lấy cao răng

Hầu hết mọi người đều nên thực hiện việc lấy cao răng, đặc biệt là trong các trường hợp sau:

  • Người chưa đến định kỳ cạo vôi răng nhưng đã xuất hiện vôi răng.

  • Người có lượng cao răng nhiều hoặc có nhiều vết dính trên, dưới nướu.

  • Người bị viêm nha chu hoặc viêm nướu liên quan đến cao răng.

  • Phụ nữ mang thai có cao răng nên loại bỏ để giảm nguy cơ mắc các bệnh răng miệng trong thời gian thai kỳ.

  • Người được yêu cầu cạo vôi răng trước khi thực hiện nhổ răng, niềng răng, tẩy trắng răng.

  • Bệnh nhân đang trong quá trình xạ trị hoặc phẫu thuật cần vệ sinh răng miệng sạch sẽ trước khi điều trị.

Các trường hợp không nên lấy cao răng

  • Người bị viêm nha chu cấp, viêm nướu, viêm nướu hoại tử cấp tính.

  • Người không thể há miệng hoặc bị đau khi phải há miệng lớn.

  • Người bị bệnh tắc nghẽn đường hô hấp trên, không thể sử dụng mũi để thở.

  • Người bị viêm tủy cấp, nhạy cảm với nước lạnh và độ rung của dụng cụ lấy cao răng.

  • Người bị rối loạn đông máu.

  • Người mắc các bệnh lý về thần kinh như co giật cơ, động kinh.

  • Người bị tiểu đường bị biến chứng nha chu.

  • Người bị sốt xuất huyết hoặc mắc bệnh lây truyền qua đường nước bọt.

Quy trình lấy cao răng 3 bước chuẩn chuyên khoa

Bước 1: Kiểm tra lâm sàng

Đầu tiên, nha sĩ cần kiểm tra độ dày của cao răng để lựa chọn phương pháp điều trị phù hợp. Nha sĩ cũng sẽ trao đổi với bạn một số vấn đề có thể gặp phải trong quá trình lấy cao răng như chảy máu chân răng, răng ê buốt,... sau khi lấy cao răng.

Bước 2: Lấy cao răng bằng dụng cụ chuyên dụng

Nha sĩ sẽ sử dụng dụng cụ cầm tay có sóng siêu âm để cạo vôi răng. Thiết bị siêu âm rung động tần số cao với nước để lấy cao răng ra ngoài mà không cần chạm vào răng. Quá trình lấy cao răng hoàn toàn không gây đau đớn và không bị mòn men răng.

Một số người có cơ địa quá nhạy cảm sẽ cảm thấy ê buốt nhẹ khi lấy cao răng. Những trường hợp cao răng nặng, bám dày sâu dưới chân răng sẽ gây chảy máu chân răng 1 ít do lợi bị tách ra. Tuy nhiên, bạn không cần quá lo lắng vì sau khi chăm sóc răng miệng đúng cách vài ngày lợi sẽ bám vào chân răng và phục hồi nhanh chóng.

Bước 3: Đánh bóng răng

Sau khi loại bỏ cao răng, nha sĩ sẽ đánh bóng và làm mịn bề mặt răng, hạn chế cao răng quay trở lại, giúp răng sáng màu hơn.

Với những người mắc bệnh về răng, lợi, nha sĩ có thể kê 1 số loại thuốc hỗ trợ điều trị và hẹn lịch tái khám. Ngoài ra, bác sĩ sẽ hướng dẫn bạn cách vệ sinh, chăm sóc răng miệng hiệu quả tại nhà.

 

Lấy cao răng có đau không?

Câu trả lời là không, lấy cao răng hoàn toàn không đau. Sau khi lấy cao răng xong, có thể xuất hiện tình trạng chảy máu nướu răng và cảm giác hơi ê buốt khi uống nước quá nóng hoặc quá lạnh, nhưng tình trạng này sẽ hết sau vài ngày.

Cách ngăn ngừa sự tích tụ cao răng

Cao răng không phải là một vấn đề đáng lo ngại, nhưng nếu để cao răng tích tụ trong thời gian dài có thể gây ra tình trạng hôi miệng, thậm chí là mất răng. Để hạn chế khả năng tích tụ cao răng, bạn có thể thực hiện một số biện pháp sau tại nhà:

  • Đánh răng sau khi ăn và trước khi đi ngủ là thói quen cần thiết để giảm thiểu sự hình thành mảng bám và tích tụ cao răng. 

  • Sử dụng chỉ nha khoa thay cho tăm xỉa răng để hạn chế chảy máu nướu răng và hở các kẽ răng.

  • Kết hợp sử dụng nước súc miệng hoặc nước muối loãng để ngăn ngừa vi khuẩn tích tụ.

  • Cần thực hiện việc lấy vôi răng định kỳ 6 tháng/lần tại phòng khám. Đối với những người có thói quen hút thuốc, uống rượu bia thì nên đến phòng khám mỗi 3 - 4 tháng 1 lần để kiểm tra.

  • Hạn chế những thực phẩm nhiều đường và tinh bột, các loại nước có gas. Đây là những thực phẩm tăng khả năng tích tụ mảng bám trong miệng.

  • Không hút thuốc lá vì các chất trong thuốc lá sẽ hình thành cao răng nhanh hơn.

Khi đã biết cao răng là gì và những tác hại của cao răng, bạn nên bắt đầu thay đổi thói quen vệ sinh răng miệng của mình để ngăn ngừa sự tích tụ cao răng. Loại bỏ cao răng không chỉ tăng tính thẩm mỹ răng miệng mà còn loại bỏ nguy cơ mắc các bệnh lý nha khoa nguy hiểm.

 

Câu Hỏi Thường Gặp

Lấy cao răng không ảnh hưởng đến sức khỏe của bạn mà còn giúp bạn tránh được các bệnh về răng miệng. Vì vậy, hãy kiểm tra răng miệng và cạo vôi răng định kỳ 6 tháng/lần để đảm bảo sức khỏe răng miệng.
Cao răng có thể lấy tại nhà nhưng không thể loại bỏ hoàn toàn các mảng bám và cao răng. Mặt khác, lấy cao răng không đúng kỹ thuật có thể mắc một số bệnh lý hoặc tổn thương răng miệng không mong muốn. Cách tốt nhất là đến nha khoa để nha sĩ tư vấn và thực hiện.