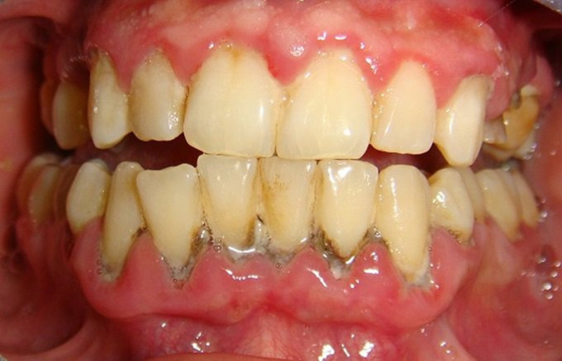
Vôi răng là gì?

Vôi răng là những mảng bám tích tụ và bị vôi hóa bởi các hợp chất muối vô cơ trong nước bọt, cặn mềm trong miệng (các mảnh vụn thức ăn hoặc các chất khoáng). Theo thời gian, vôi răng sẽ dần cứng và bám chắc vào bề mặt răng hoặc dưới nướu.

 

Lấy cao răng là gì?

Lấy cao răng (cạo vôi răng) là quá trình loại bỏ mảng bám trên bề mặt răng và dưới nướu. Bằng cách sử dụng độ rung sóng siêu âm từ đầu của dụng cụ cạo vôi, những mảng bám tích tụ lâu năm, khoáng chất cứng bám vào răng sẽ được làm sạch kỹ lưỡng. Điều này không chỉ giúp tái tạo lại vẻ đẹp, sự trắng sáng cho nụ cười mà còn ngăn ngừa vi khuẩn gây hại phát triển và các bệnh lý nha khoa khác.

Có nên lấy cao răng không?

Việc quyết định có nên lấy cao răng hay không phụ thuộc vào sức khỏe nha khoa của mỗi người và khuyến nghị từ nha sĩ. Nếu bạn có tình trạng răng miệng tốt, việc lấy cao răng đem lại nhiều lợi ích như: giảm hôi miệng, giảm nguy cơ viêm nha chu và giúp phát hiện sâu răng sớm.

Đặc biệt, cạo vôi răng có thể ảnh hưởng tích cực đến hiệu quả điều trị của những đối tượng đang hoặc có nguy cơ mắc các bệnh răng miệng: viêm nướu, nha chu, người hút thuốc lâu năm và bệnh nhân tiểu đường.

Vì sao phải lấy cao răng định kỳ?

1. Tránh tình trạng hơi thở có mùi

Mảng bám và vi khuẩn tích tụ trên bề mặt răng và nướu lâu ngày sản sinh các hợp chất hữu cơ gây mùi khó chịu. Đây là nguyên nhân chính dẫn đến hôi miệng. Lấy cao răng loại bỏ mảng bám và vi khuẩn, giúp làm sạch khoang miệng, từ đó ngăn ngừa tình trạng hơi thở có mùi.

2. Ngăn chặn viêm nướu, viêm nha chu

Vi khuẩn trên mảng bám không được làm sạch sẽ khiến nướu bị viêm nhiễm, kích ứng. Nếu không được điều trị kịp thời, viêm nướu có thể tiến triển thành bệnh nha chu, làm hủy hoại mô nướu và xương hàm, dẫn đến tụt lợi hay thậm chí mất răng.

3. Ngăn ngừa sâu răng

Loại bỏ mảng bám, vôi răng thông qua quá trình lấy cao răng thường xuyên giúp ngăn chặn sự phát triển của vi khuẩn gây sâu răng và các bệnh lý răng miệng khác.

4. Giảm chi phí đi nha khoa

Duy trì sức khỏe nha khoa tốt bằng cách lấy cao răng định kỳ giúp bạn tránh được những khoản chi phí điều trị sau này liên quan đến các bệnh lý răng miệng phức tạp và nghiêm trọng như: viêm nha chu, tụt lợi, mất răng,...

5. Bảo vệ chân răng

Cao răng tích tụ trong thời gian dài gây ra những hậu quả nghiêm trọng như viêm nhiễm viền nướu, thoái hóa viền nướu, suy yếu cấu trúc xương hàm và làm giảm độ bám của mô bao quanh chân răng. Những vấn đề này không chỉ gây đau đớn mà còn có thể dẫn đến tình trạng rụng răng.

Lấy cao răng loại bỏ mảng bám, vi khuẩn tích tụ trên bề mặt răng và dưới nướu, giúp mô bao quanh chân răng khỏe mạnh, đồng thời, giảm nguy cơ mắc các vấn đề nha khoa nghiêm trọng khác.

6. Cải thiện sức khỏe tổng thể

Ngoài những lợi ích trực tiếp đối với sức khỏe răng miệng, lấy cao răng còn giảm nguy cơ viêm nhiễm lan ra các cơ quan lân cận như sỏi amidan, viêm xoang và viêm họng. Bên cạnh đó, quá trình này giúp ngăn ngừa tình trạng viêm nội tâm mạc. Đồng thời, góp phần cải thiện hiệu quả trong việc điều trị các bệnh liên quan đến đái tháo đường và các vấn đề sức khỏe khác. Do đó, việc duy trì sức khỏe nha khoa thông qua lấy cao răng định kỳ không chỉ làm tăng cường sức khỏe răng miệng mà còn ảnh hưởng tích cực đến sức khỏe tổng thể của cơ thể.

Khi nào nên lấy cao răng?

Ngay khi phát hiện có mảng bám vôi răng tích tụ trên bề mặt răng hoặc dưới nướu, bạn cần thăm khám nha sĩ càng sớm càng tốt để loại bỏ chúng. Bên cạnh đó, nếu bạn đang gặp phải các vấn đề như viêm nướu, viêm nha chu, hoặc sâu răng, việc lấy cao răng định kỳ cũng rất quan trọng. Điều này giúp cải thiện hiệu quả điều trị.

>>> Xem thêm:

Bao lâu lấy cao răng 1 lần?

Tần suất lấy cao răng mỗi lần có thể khác nhau tùy thuộc vào tình trạng sức khỏe răng miệng của từng người và chỉ định của bác sĩ nha khoa. Trên thực tế, các nha sĩ thường khuyến nghị nên lấy cao răng định kỳ 3 - 6 tháng/lần. 

Cao răng ảnh hưởng đến sức khỏe răng miệng như thế nào?

Cao răng tích tụ trên răng và dọc đường viền nướu, gây ra nhiều vấn đề sức khỏe răng miệng nghiêm trọng. Vôi răng tạo ra một bề mặt nhám giúp vi khuẩn có thể bám chắc và gia tăng nhiều hơn qua thời gian, gây ra bệnh sâu răng, nha chu,...

Bên cạnh đó, vôi răng có tính xốp dễ hấp thụ các vết bẩn và màu từ trà, cafe,... từ đó hình thành cao răng đen, khiến răng bị ố vàng, xỉn màu mất thẩm mỹ.

>>> Xem thêm:

Đối tượng chỉ định và chống chỉ định lấy cao răng

Đối tượng nên lấy cao răng thường xuyên

  • Người bị viêm nướu, viêm nha chu.

  • Đến thời gian cạo vôi răng định kỳ.

  • Nhiều cao răng, số lượng tăng lên bất thường, có vết dính ở trên hoặc dưới nướu.

  • Phụ nữ có thai: nên thực hiện lấy cao răng trong giai đoạn 3 tháng giữa thai kỳ (từ tháng thứ 4, 5 và 6).

  • Đối tượng cần vệ sinh răng miệng trước khi xạ trị, phẫu thuật.

Đối tượng chống chỉ định lấy cao răng

  • Bệnh nhân viêm nướu, viêm nha chu cấp tính, nướu bị lở loét, hoại tử cấp tính.

  • Tắc nghẽn đường hô hấp trên, không thở được bằng mũi.

  • Bệnh nhân viêm tủy cấp tính, không chịu được độ rung của các dụng cụ lấy cao răng hay cảm giác lạnh, ê buốt sau khi lấy cao răng.

  • Người mắc bệnh đái tháo đường nghiêm trọng, đã biến chứng.

  • Bệnh nhân bị sốt xuất huyết, suy giảm miễn dịch, các bệnh truyền nhiễm lây qua đường nước bọt, rối loạn đông máu, không cầm máu được,…

  • Người không làm chủ được hành vi, thần kinh có vấn đề, hay bị co giật.

Quy trình lấy cao răng tại nha khoa

  • Bước 1: Thăm khám và tư vấn

Nha sĩ sẽ kiểm tra độ dày cao răng, đồng thời căn cứ vào điều kiện sức khỏe răng miệng của bạn để lựa chọn những biện pháp điều trị phù hợp. Bên cạnh đó, quy trình thực hiện, những thắc mắc và lo ngại của bạn cũng sẽ được giải đáp, tư vấn tận tình.

  • Bước 2: Tìm cao răng

Cao răng có thể xuất hiện bất cứ đâu bên trong túi nướu. Do vậy, trước khi bắt đầu lấy cao răng, nha sĩ sẽ dò tìm tất cả các vị trí trong miệng. Điều này đảm bảo vôi răng được cạo sạch sẽ, kỹ lưỡng, không bị bỏ sót. Có 2 cách phổ biến mà nha sĩ thực hiện để tìm vôi răng:

Cách 1: sử dụng dụng cụ thăm dò trượt lên và xuống dọc theo bề mặt chân răng, dưới nướu. Răng có mảng bám cao răng thường gồ ghề, không nhẵn bóng.

Cách 2: tiến hành xoắn một góc và ấn bông gạc vào giữa hai hàm răng. Nước bọt hoặc nước dịch nướu sẽ thấm vào gạc. Lúc này, vùng có cao răng sẽ hiện ra rõ ràng hơn, dễ dàng nhìn thấy bằng mắt thường.

  • Bước 3: Lấy cao răng

Nha sĩ sẽ sử dụng các công cụ lấy cao răng chuyên dụng để loại bỏ tận gốc vôi răng và mảng bám mắc kẹt quanh chân răng. 

  • Bước 4: Đánh bóng bề mặt răng

Tiếp theo, các chuyên gia tiến hành đánh bóng và làm mịn bề mặt răng. Quá trình này không chỉ giúp loại bỏ các mảng bám còn sót lại mà còn hạn chế sự tái hình thành vôi răng, giúp răng trở nên sáng màu và mịn màng hơn.

  • Bước 5: Vệ sinh răng miệng

Cuối cùng, bạn sẽ được hướng dẫn cách vệ sinh răng miệng để hạn chế cao răng. Bên cạnh đó, với những người có vấn đề về răng, lợi, nha sĩ có thể kê đơn một số loại thuốc hỗ trợ điều trị hiệu quả.

Có thể tự lấy cao răng tại nhà không?

Bạn có thể tự lấy cao răng tại nhà, tuy nhiên, việc này không được khuyến khích. Nguyên nhân bởi vì việc lấy cao răng đòi hỏi các kỹ năng và công cụ phù hợp để loại bỏ mảng bám cao răng hiệu quả mà không gây tổn thương cho nướu hoặc răng. Đồng thời, thực hiện cạo vôi răng sai cách sẽ dẫn đến các vấn đề nghiêm trọng như tổn thương nướu, làm mòn men răng, gây đau nhức, khó chịu. Do vậy, để lấy cao răng an toàn và hiệu quả, bạn nên tìm đến các phòng khám nha khoa uy tín.

Cách lấy cao răng lâu năm tại nhà

Cạo vôi răng bằng các dụng cụ cầm tay chuyên dụng

Hiện nay trên thị trường có nhiều máy lấy cao răng cầm tay tiện lợi. Các sản phẩm này tạo ra rung động mạnh với tần số cao kết hợp đầu nhỏ, nhọn, giúp loại bỏ được mảng bám ở chân răng. Tuy nhiên, bạn cần chú ý cẩn thận khi sử dụng vì máy có thể làm tổn hại đến mô mềm và men răng.

Phương pháp lấy cao răng tại nhà bằng nguyên liệu tự nhiên

Phương pháp lấy cao răng tại nhà bằng nguyên liệu tự nhiên chỉ phù hợp với những trường hợp vôi răng nhẹ, thường là trong giai đoạn cao răng chưa bám chặt vào răng và chỉ gây ra hiện tượng ố vàng. Bên cạnh đó, thực hiện không đúng cách hoặc lạm dụng các phương pháp này có thể dẫn đến nhiều tác hại như viêm nướu, viêm nha chu, mòn men răng, răng trở nên nhạy cảm và đau nhức. Đồng thời, phương pháp này không thể loại bỏ hết vôi răng tồn tại, đặc biệt là ở các vị trí sâu trong răng hàm. Một số cách lấy cao răng tại nhà bằng nguyên liệu tự nhiên như: 

  • Sử dụng muối và chanh: Kết hợp một muỗng cà phê muối biển và một ít nước chanh để tạo thành một hỗn hợp. Chải răng với hỗn hợp này khoảng 2 - 3p mỗi lần. Muối giúp loại bỏ mảng bám, vi khuẩn trên răng, trong khi chanh có tính chất làm sạch và làm trắng răng.

  • Sử dụng dầu dừa hoặc dầu oliu: Chải răng với dầu dừa hoặc dầu oliu trong khoảng 15-20 phút. Nguyên liệu này có tính kháng khuẩn và giúp loại bỏ mảng bám trên răng.

  • Dùng Baking soda: Pha một ít bột nở (baking soda) với nước để tạo thành một hỗn hợp. Sau đó, sử dụng hỗn hợp này để chải răng như bình thường 2 - 3 phút. Thực hiện 2 - 3 lần/tuần để mang lại kết quả tốt nhất.

Tác hại của việc lấy cao răng sai cách

Lấy cao răng đem lại nhiều lợi ích cho sức khỏe răng miệng. Tuy nhiên, nếu thực hiện sai cách, quá trình này có thể gây ra những tác hại như:

  • Nhiễm trùng nướu: Nếu không tuân thủ các quy trình vệ sinh và phòng tránh nhiễm trùng đúng cách, việc lấy cao răng có thể dẫn đến nhiễm trùng vùng nướu hoặc răng.

  • Tổn thương đến mô mềm: Cao răng không được lấy cẩn thận và đúng cách có thể làm tổn thương nướu và các mô mềm xung quanh răng, gây viêm nhiễm và đau đớn.

  • Mòn men răng: Việc di chuyển máy cạo vôi răng sai vị trí hoặc sử dụng tần số rung quá cao có thể gây tổn thương đến men răng. Mòn men răng khiến răng trở nên nhạy cảm và dễ bị tổn thương.

Lấy cao răng có đau không?

Thông thường, việc lấy cao răng không gây ra bất kỳ cảm giác không thoải mái hay đau đớn nào cho người bệnh. Bởi vì cạo vôi răng chỉ tác động đến mảng bám trên răng, không ảnh hưởng đến men hay nướu răng. Tuy nhiên, những người có răng nhạy cảm hay mảng bám cao răng lâu năm, cứng tại những vị trí sâu trong hàm sẽ có thể cảm thấy ê buốt nhẹ, thậm chí chảy máu.

Lấy cao răng có ảnh hưởng gì không?

Lấy cao răng không gây ảnh hưởng gì đến sức khỏe của bạn. Ngược lại, quá trình này giúp loại bỏ mảng bám và vi khuẩn gây hại, từ đó ngăn ngừa các bệnh lý như: viêm nướu, sâu răng, viêm nha chu,... Đồng thời, làm răng trắng sáng, chắc khỏe, cho hơi thở thơm mát.

Lấy cao răng bao nhiêu tiền?

Chi phí lấy cao răng thay đổi tùy thuộc vào nhiều yếu tố như vị trí địa lý, trình độ nha sĩ, tình trạng cao răng,... Hiện nay, mức giá cho quá trình lấy cao răng thường dao động từ 200.000 – 700.000 đồng/1 lần. Với cao răng mức độ nặng, chi phí có thể lên đến 900.000 – 1 triệu đồng.

Lấy cao răng bao nhiêu phút?

Tùy vào tình trạng vôi răng nhiều hay ít, kỹ thuật thực hiện và tay nghề của nha sĩ, quá trình lấy cao răng có thể kéo dài từ 10 - 30 phút. Trong một số trường hợp đặc biệt hoặc khi có nhu cầu phức tạp hơn, thời gian có thể lên đến 60 phút hoặc hơn.

Lấy cao răng nhiều có tốt không?

Lấy cao răng quá nhiều lần gây mòn men răng, khiến răng trở nên nhạy cảm và dễ bị tổn thương hơn. Ngoài ra, việc thường xuyên tiếp xúc với các công cụ và hóa chất trong quá trình lấy cao răng cũng làm men răng yếu và tổn thương các mô mềm khác trong miệng. Do đó, bạn chỉ nên cạo vôi răng theo định kỳ 3-6 tháng/lần.

Những biện pháp ngăn ngừa cao răng

Ngoài cách đến nha khoa để lấy vôi răng, bạn có thể thực hiện các biện pháp sau tại nhà để ngăn ngừa cao răng tích tụ trên răng:

  • Sử dụng bàn chải lông mềm, mỏng hoặc bàn chải điện để đánh răng ít nhất 2 lần mỗi ngày với các loại kem đánh răng chứa fluoride. Trong trường hợp bạn đang mắc các bệnh lý nướu răng, ưu tiên sử dụng kem đánh răng trị viêm nướu, viêm nha chu.

  • Dùng chỉ nha khoa vệ sinh răng miệng hằng ngày để có thể dễ dàng loại bỏ những mảng bám tích tụ ở các kẽ răng và ngăn ngừa vôi răng hình thành.

  • Súc miệng bằng nước muối hoặc nước súc miệng không cồn diệt khuẩn để làm sạch sâu khoang miệng.

  • Tránh dùng tăm nhọn xỉa răng, gây tổn thương răng, nướu.

  • Uống đủ 1,5 – 2 lít nước mỗi ngày để hạn chế tình trạng khô miệng và rửa trôi vụn thức ăn sau bữa ăn.

  • Thiết lập chế độ ăn uống khoa học, lành mạnh, hạn chế đồ ngọt, thức ăn có nhiều đường. Đồng thời, ăn nhiều thực phẩm giàu chất xơ, bổ sung canxi và khoáng chất để giữ cho răng khỏe mạnh.

  • Hạn chế hút thuốc lá, sử dụng ống hút khi uống trà, cafe,...

>>> Tìm hiểu thêm: 

Một số lưu ý sau khi lấy cao răng

Sau khi lấy cao răng, bạn cần lưu ý:

  • Chăm sóc răng miệng hàng ngày bằng cách đánh răng và sử dụng chỉ nha khoa như bình thường. 

  • Tránh ăn hoặc uống các loại thức ăn cứng, dai và đồ uống có gas trong ít nhất 24 giờ sau khi lấy cao răng.

  • Nên ăn món ăn mềm, dễ nhai.

  • Tuân thủ mọi hướng dẫn và khuyến nghị từ nha sĩ, bao gồm cách chăm sóc và làm sạch khu vực đã lấy cao răng và lịch hẹn tái kiểm tra.

Một số câu hỏi về việc cạo vôi răng

Lấy cao răng có làm trắng răng không?

Lấy cao răng không thể trực tiếp làm trắng răng. Quá trình này chỉ tập trung vào việc loại bỏ mảng bám và vôi răng tích tụ trên bề mặt răng và dưới nướu. Tuy nhiên, sau khi loại bỏ cao răng, bề mặt răng sẽ trở nên sáng và sạch sẽ, làm cho răng có vẻ trắng hơn.

Không lấy cao răng có sao không?

Không lấy cao răng có thể gây ra nhiều vấn đề về sức khỏe răng miệng, bao gồm viêm nướu, bệnh nha chu, sâu răng, tăng nguy cơ viêm nhiễm thậm chí tiêu xương, lung lay và rụng răng. Đồng thời, vi khuẩn từ mảng bám và vôi răng tích tụ có thể gây viêm tủy ngược dòng. Do đó, việc lấy cao răng định kỳ là cần thiết để duy trì sức khỏe răng miệng.

Sau khi lấy cao răng bao lâu thì được ăn?

Sau khi lấy cao răng, bạn nên chờ khoảng 1-2 giờ trước khi ăn uống bình thường. Trong khoảng thời gian này, cảm giác ê buốt và khó chịu sẽ dần giảm đi, giúp bạn cảm thấy thoải mái hơn khi ăn uống. Tuy nhiên, bạn cần lưu ý tránh các thực phẩm cứng, dai, nóng và ưu tiên các món ăn mềm, dễ nhai.

Trên đây là những thông tin hữu ích về việc có nên lấy cao răng không cũng như quy trình lấy cao răng đúng cách mà Colgate muốn gửi đến bạn đọc. Cao răng lâu ngày gây ảnh hưởng không tốt đến sức khỏe răng miệng của bạn. Do vậy, hãy cạo vôi răng răng định kỳ tại nha sĩ kết hợp với chăm sóc răng miệng đúng cách để sở hữu hàm răng trắng sáng, khỏe mạnh.